Fig. 1
From: Immediate four implants supported short arch rehabilitation for severe maxillary edentulism

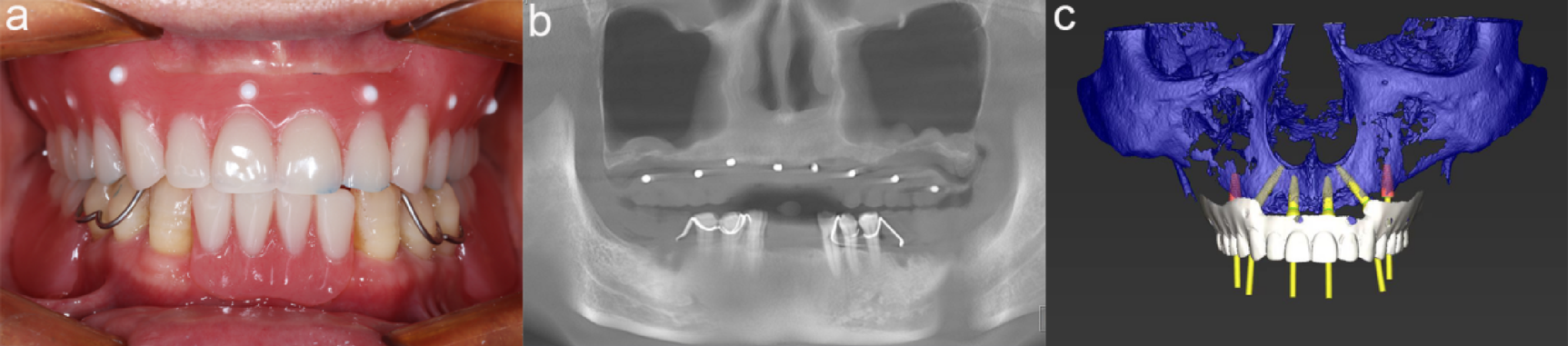
Preoperative design. (a) diagnostic denture (b) Preoperative cone beam computed tomography (CBCT) scan (c) Prosthetically guided implant design.
From: Immediate four implants supported short arch rehabilitation for severe maxillary edentulism

Preoperative design. (a) diagnostic denture (b) Preoperative cone beam computed tomography (CBCT) scan (c) Prosthetically guided implant design.