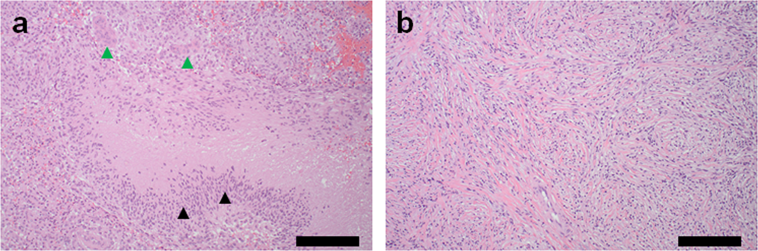
Fig. 3: Representative histopathological images.

a Primary resection showing histopathological features of glioblastoma, including pseudo palisading necrosis (black arrowheads) and microvascular proliferation (green arrowheads). b Recurrent resection showing spindle cell sarcomatous histopathology. Scale bars represent 200 μm.