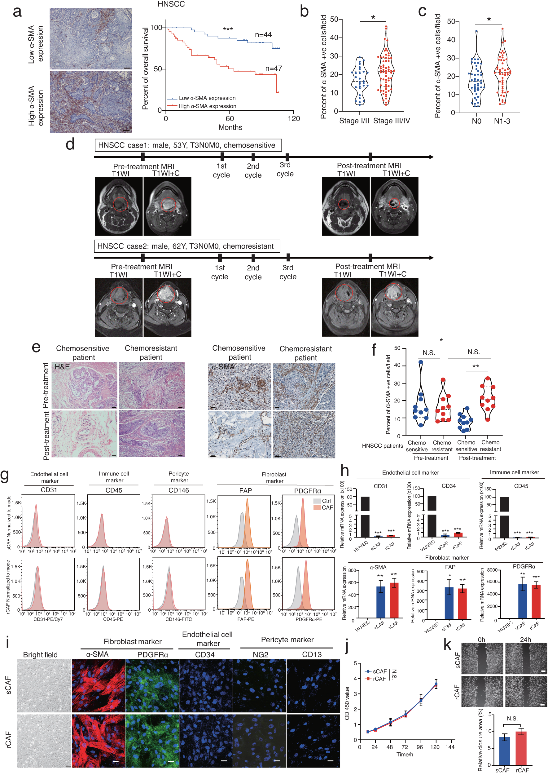
Fig. 1: Cancer associated fibroblast population determines neoadjuvant chemotherapy efficacy in HNSCC.

a Immunohistochemistry analysis of α-SMA expression in tumor sections derived from HNSCC patients. Kaplan–Meier survival curves of HNSCC patients with high or low α-SMA expression (n = 91 patients, our cohort). Violin plots depicting the relationship between cancer progression (b) or tumor size (c) and α-SMA expression level (n = 91 patients, our cohort). d Magnetic resonance imaging (MRI) of a chemo-sensitive or chemo-resistant patient before and after receiving neoadjuvant chemotherapy (NACT) treatment (3 cycles of treatment). Red line indicates the position of tumor. TNM staging: T stands for tumor, N for lymph node metastasis and M for metastasis. Y stands for year. T1Wl refers to T1 weighted images and T1Wl + C stands for contrast enhanced T1Wl. e Representative images of H&E and α-SMA immunohistochemical stained tumors sections from each group before and after the NACT treatment are given. f Violin plot showing the level of α-SMA expression in chemo-sensitive or -resistant HNSCC patients before and after receiving the NACT treatment (n = 20 patients, our cohort). g Flow cytometry (FACS) analysis of the expression levels of endothelial cell (CD31), immune cell (CD45), pericyte marker (CD146) and fibroblast markers (FAP, PDGFRα) in CAFs isolated from three different chemo-sensitive (sCAF) or -resistant (rCAF) patient derived pre-treatment tumor biopsies. h Analysis of the mRNA expression levels of endothelial cell, immune cell, pericyte and fibroblast markers in sCAFs and rCAFs respectively. i Immunofluorescence staining of the indicated endothelial cell, immune cell, pericyte and fibroblast markers in sCAFs and rCAFs. Representative bright field images of sCAF and rCAF are given. j CCK8 proliferation assay of the sCAFs and rCAFs over 120 h. k Representative images of scratch assays from each group. Bar charts show the percentage of wound closure in each group. FACS plots or bar charts are representative of three individual patient data. Data are presented as means ± S.E.M. *P < 0.05, **P < 0.01, ***P < 0.001, N.S. non-significant. Scale bars in (a) represent 100 μm, (e) 200 μm, (i, k) 50 μm. a Log-rank (Mantel-Cox) test. b, c, k Student’s t test. f, h One-way ANOVA. j Two-way ANOVA.