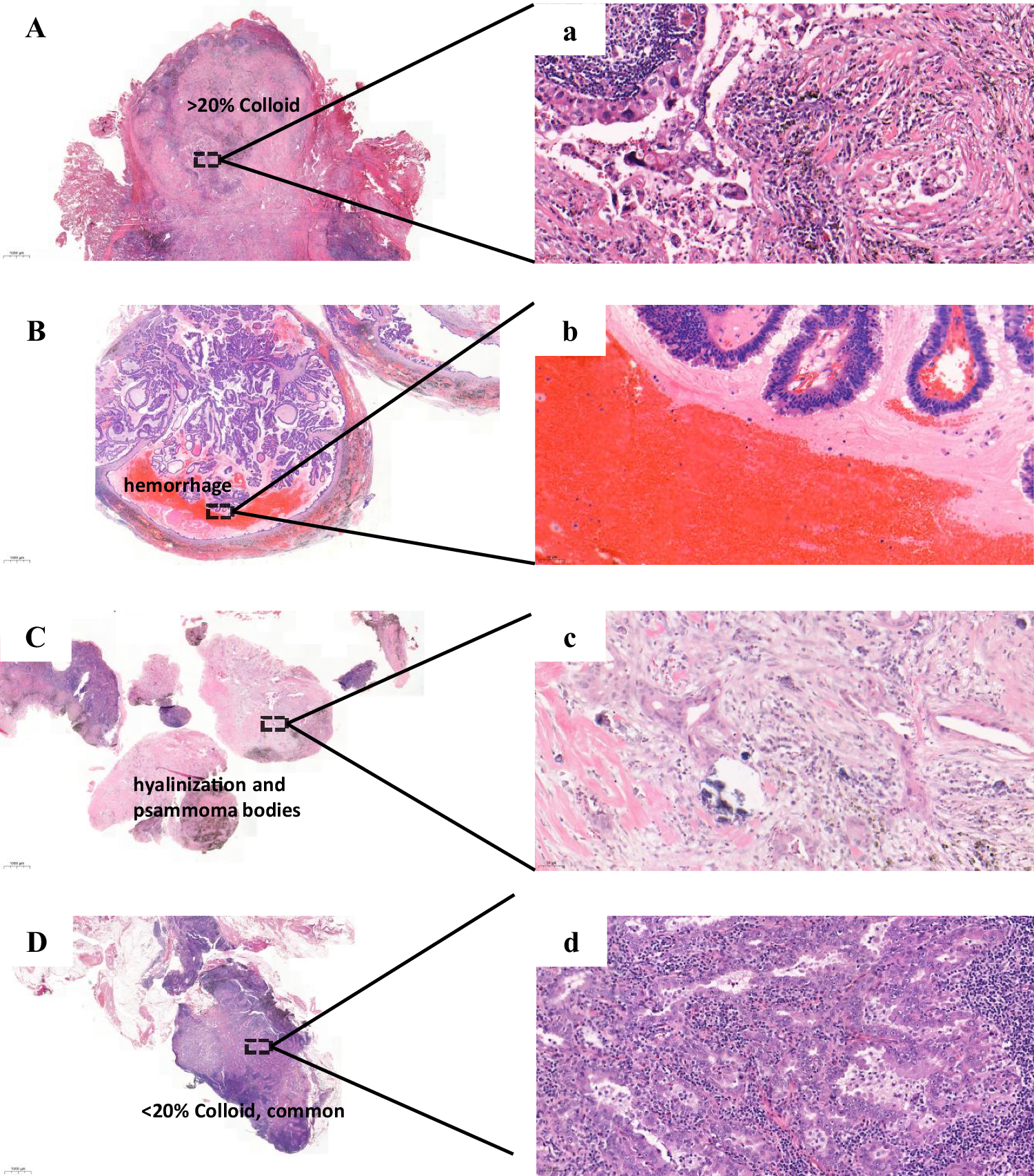
Fig. 8: The TME-composition pattern in the TDLNs+ of LUAD.

Colloid-type: A (10x), a (200X). A colloid component exceeding 20%; Necrosis-type: B (10x), b (200X). Characterized by the presence of necrotic cores derived from either the tumor or hemorrhage in a TDLN+; Specific-type: C (10x), c(200X). Displayed typical hyalinosis or psammoma bodies; Common-type: D (10x), d (200X). It exhibits a common appearance aspect with a poor collagen pool and lacks the presence of necrosis or specific features.