Fig. 6: NSUN2 affects KPNA2 levels by regulating YBX1.
From: piRNA28846 has the potential to be a novel RNA nucleic acid drug for ovarian cancer

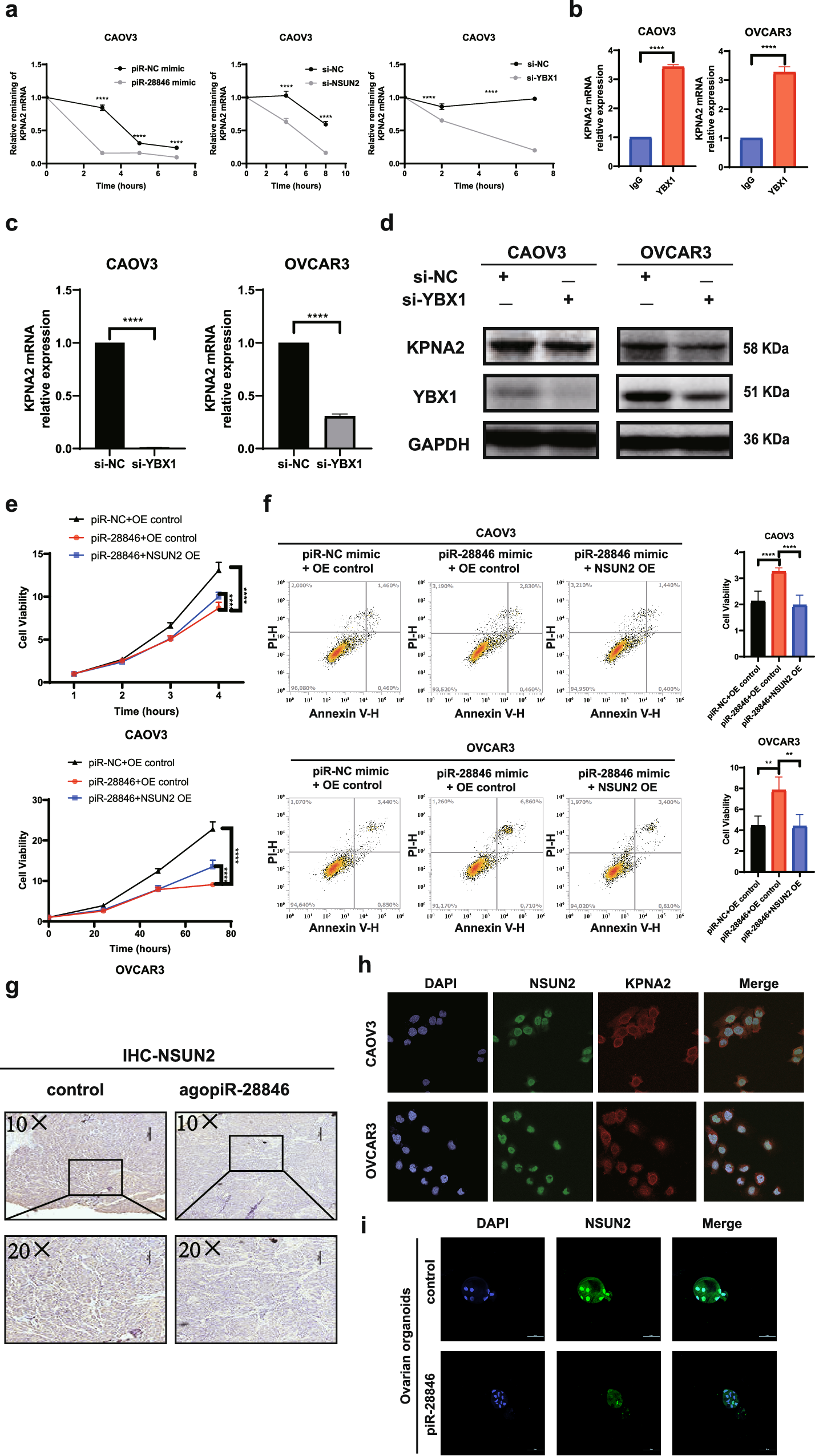
a Stability of KPNA2 mRNA when the expression of piR-28846, NSUN2, and YBX1 is changed. b The binding of KPNA2 mRNA to YBX1 protein. c KPNA2 mRNA expression levels after knocking down YBX1. d The expression levels of associated proteins after knocking down YBX1. e Overexpression of NSUN2 reversed the effect of piR-28846 on ovarian cell proliferation. f Overexpression of NSUN2 reversed the effect of piR-28846 on ovarian cell apoptosis. g Compared with the control group, the expression of NSUN2 in xenografts treated with agopiR-28846 was significantly reduced. h Immunofluorescence assay showed the localization of NSUN2 and KPNA2 proteins in ovarian cancer cells. i Immunofluorescence showed the changes of NSUN2 expression in ovarian cancer organoids after ago piR-28846 treatment.