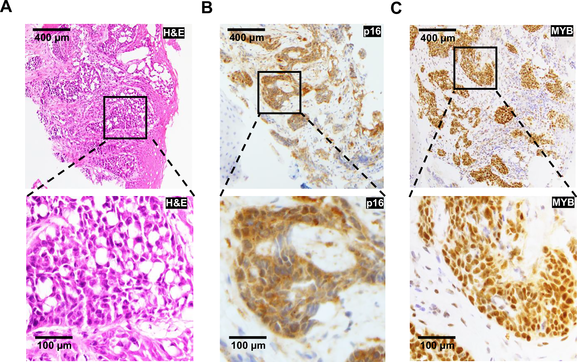
Fig. 1: HMSC shows strong p16 and MYB staining.

Histopathologic images of HMSC taken at 100X (top row, scale bar represents 400 µm) and 400X (bottom row, scale bar represents 100 µm) show A H&E staining, B strong and diffuse p16 immunohistochemical (IHC) staining, and C strong and diffuse MYB IHC staining.