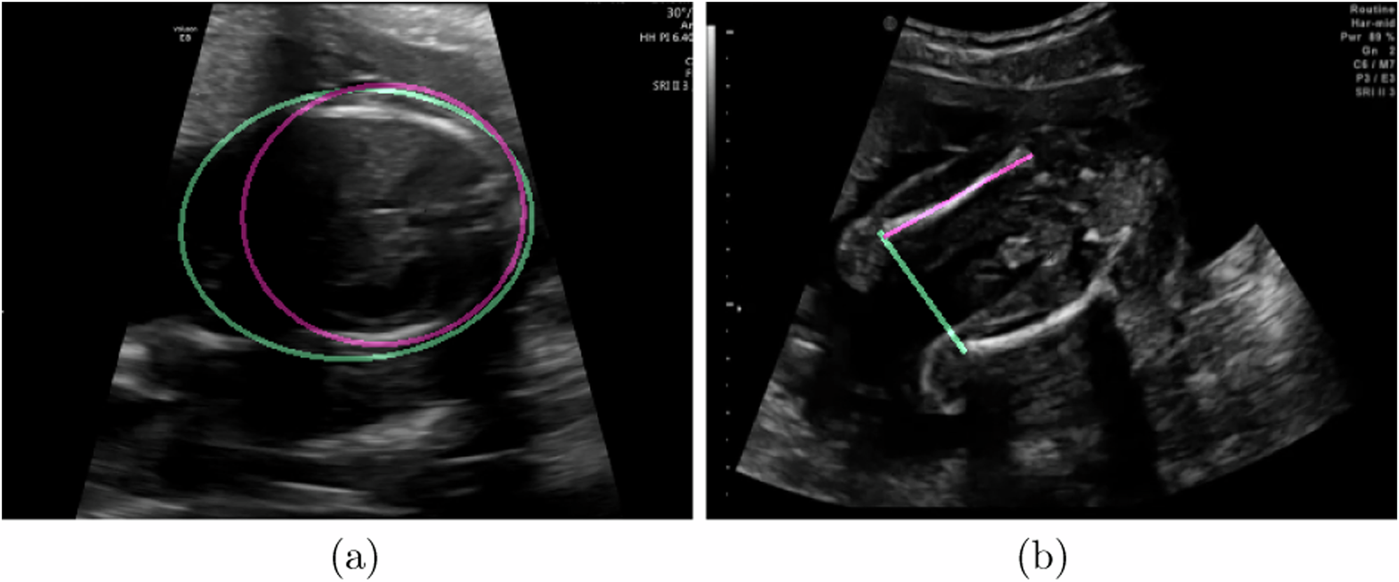
Fig. 5: Examples of failure cases in biometric estimation.
From: Whole examination AI estimation of fetal biometrics from 20-week ultrasound scans

This figure shows two failure cases of biometric estimation in a the Head Circumference elliptical biometric and b the Femur Length linear biometric. The pink annotation shows the ground truth measurement made by a sonographer, while the green annotation is the automatic one made by our CNNs.