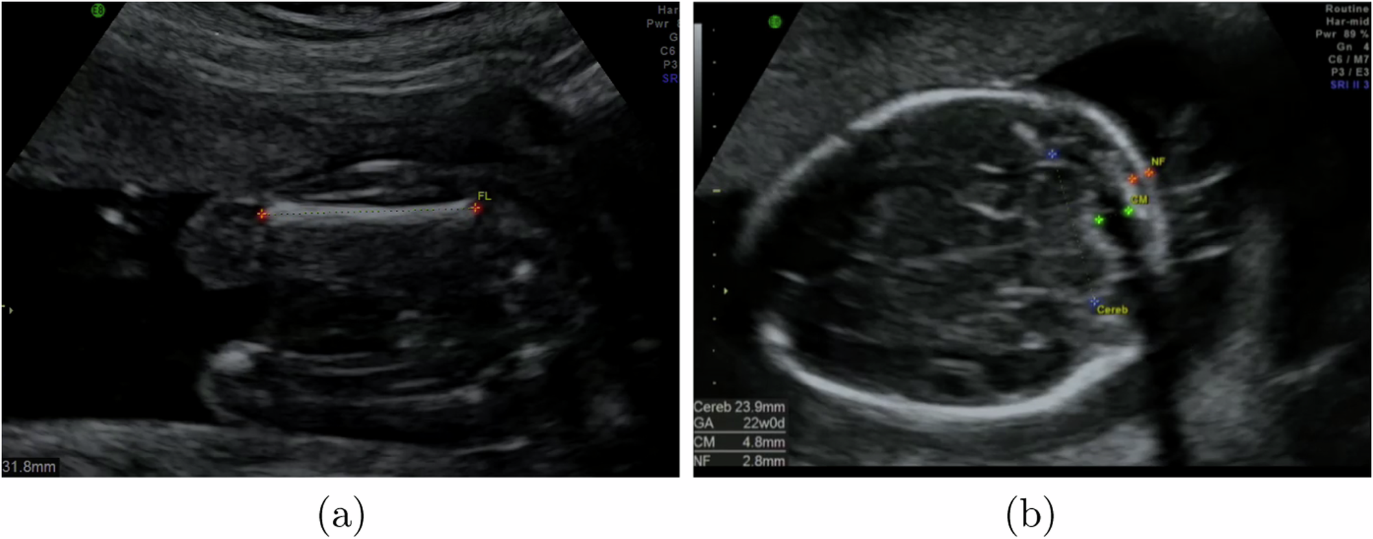
Fig. 7: Example heatmap outputs of our CaliperNet annotation extraction CNN.
From: Whole examination AI estimation of fetal biometrics from 20-week ultrasound scans

Shown are extracted annotations for a a femur image, and b a brain-CB image with labels for the cerebellum, cisterna magna and nuchal fold. The cisterna magna and nuchal fold annotations were not used in this paper.