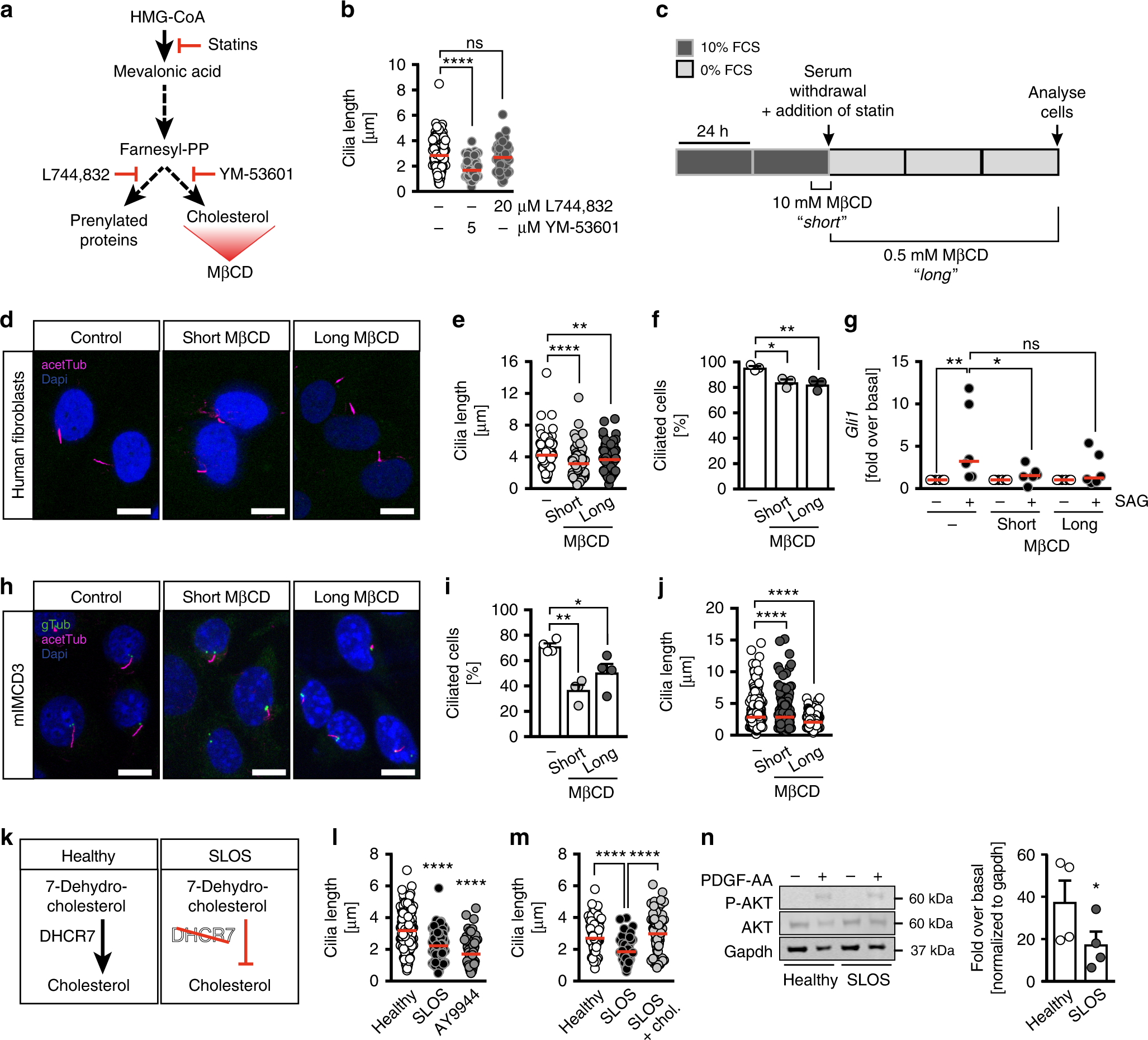
Fig. 5

Cholesterol depletion by different means impairs ciliogenesis. a Cartoon of cholesterol biosynthesis including administered inhibitors and the cholesterol scavenger methyl-β-cyclodextrin (MβCD). L744,832, farnesyltransferase inhibitor. YM-53601, squalene synthase inhibitor. b 5 µM YM-53601 reduces cilia length, 20 µM L744,832 does not; n = 75–187 cilia from 4–5 treatments; ****p < 0.0001, ns p = 0.4689. c Cells were treated either with 10 mM MβCD for a short time during the onset of ciliogenesis or throughout the whole starvation period using 0.5 mM. d Confocal z-stacks of MβCD-treated human fibroblasts. Scale bar: 10 µm. e MβCD treatments result in shorter cilia in fibroblasts; n = 128 (DMSO), 108 (short), 135 cilia (long); **p = 0.0026, ****p < 0.0001. f MβCD treatment reduces ciliation in fibroblasts. Means ± SEM; n = 3; *p = 0.0158, **p = 0.0083. g SAG-induced Smoothened signalling is impaired upon MβCD treatment. Cells were treated as depicted in (c) and stimulated as in Fig. 4h; n = 6; *p = 0.023, **p = 0.0074, ns p = 0.0572. h Confocal z-stacks of mIMCD3 cells treated with MβCD as described in (c). Cilia in magenta (acetTub), basal bodies in green (gTub). Scale bar: 10 µm. i MβCD treatment reduces ciliation in mIMCD3 cells (same DMSO control as in Fig. 4k); n = 4; *p = 0.0265, **p = 0.0013, One-way ANOVA with Dunnett’s multiple comparison test. j MβCD shortens cilia in mIMCD3 cells (same DMSO control as in Fig. 4l); n = 350 (DMSO), 303 (short) and 275 (long) cilia; ****p < 0.0001. k In Smith–Lemli–Opitz syndrome (SLOS) patients, DHCR7 is defective resulting in impaired conversion of 7-dehydrocholesterol to cholesterol. l Patient-derived fibroblasts with a genetic variant of DCH7 (G138V; H405Y) extend shorter cilia than control fibroblasts. Treatment of healthy fibroblasts with 5 µM of the DHCR7 inhibitor AY9944 shortens cilia; n = 282 (DMSO), 161 (SLOS) and 65 cilia (AY9944); ****p < 0.0001 (compared to DMSO). m Cilia length of SLOS patient cells is restored after cholesterol supplementation; n = 64–77 cilia; ****p < 0.0001. n Blunted response to PDGF-AA in SLOS fibroblasts; n = 4. Means ± SEM; *p = 0.0201, two-tailed paired t-test after log-transformation of values to achieve normal distribution. b, e, j, l, m Kruskal–Wallis test with Dunn’s multiple comparison test. f, g One-way ANOVA with Holm–Sidak’s multiple comparison test