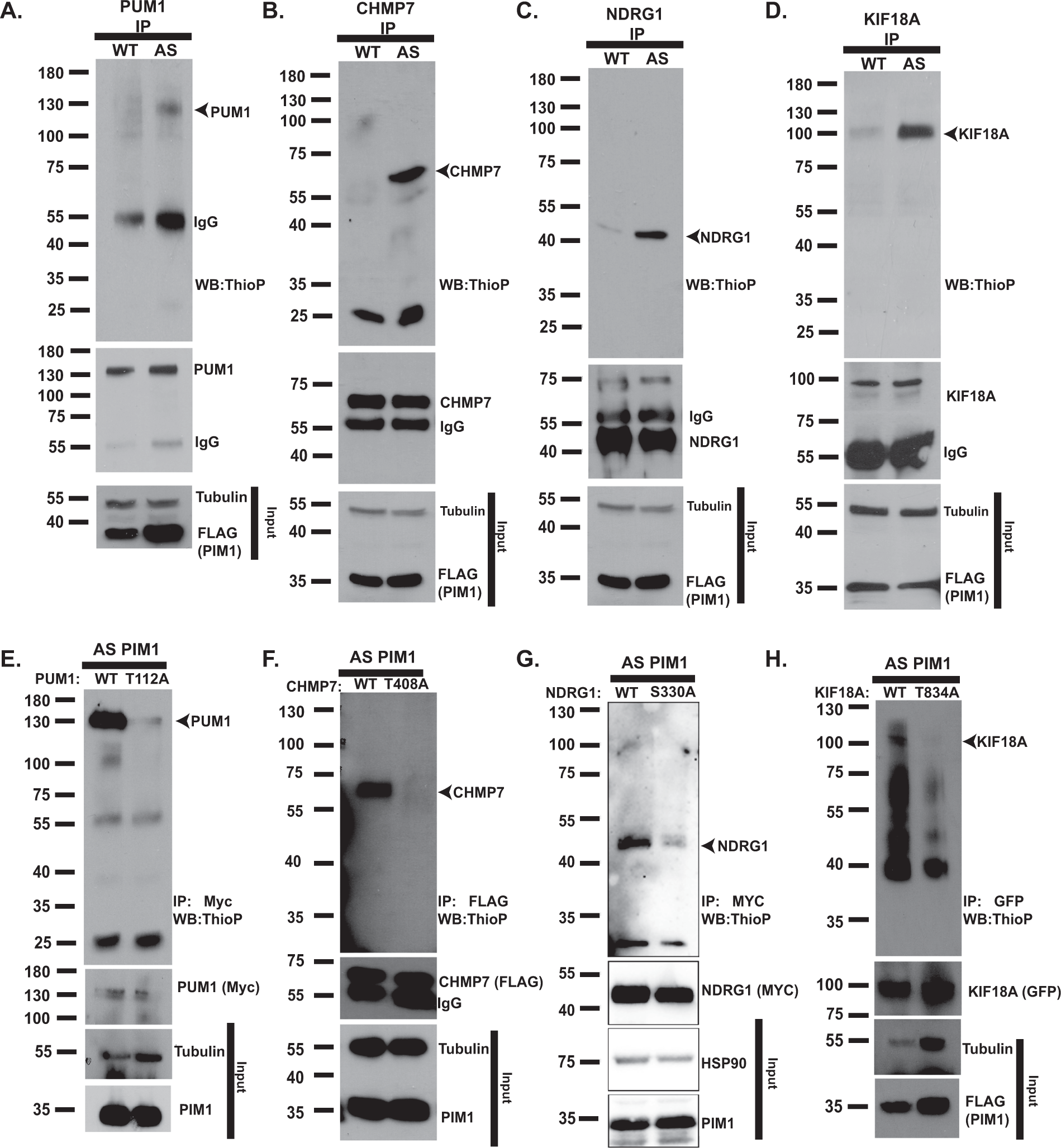
Fig. 3: AS PIM1 directly phosphorylates endogenous high-confidence substrates in prostate cancer cells.

A–D Validation of endogenous PIM1 substrates. LNCaP-AS PIM1 thiophosphorylates PUM1 A, CHMP7 B, NDRG1 C, and KIF18A D. Endogenous proteins were immunoprecipitated from LNCaP-WT PIM1 and LNCaP-AS PIM1 and analyzed by western blot for the presence of thiophosphorylation (ThioP), or immunoprecipitated PUM1, CHMP7, NDRG1, and KIF18A. E–H Phosphorylation site validation using WT and phosphorylation site mutant substrates. Substrates (Myc-PUM1, FLAG-CHMP7, FLAG-NDRG1, and GFP-6HIS-KIF18A; either wild-type (WT) or the indicated PIM1 phosphorylation site mutation) were expressed in 293 T cells with AS PIM1 and thiophosphorylation labeling completed. Substrates were immunoprecipitated using Myc, FLAG, or GFP-magnetic beads, and Western blot performed to detect thiophosphorylated, or the immunoprecipitated substrates. Western blots are representative of two independent experiments.