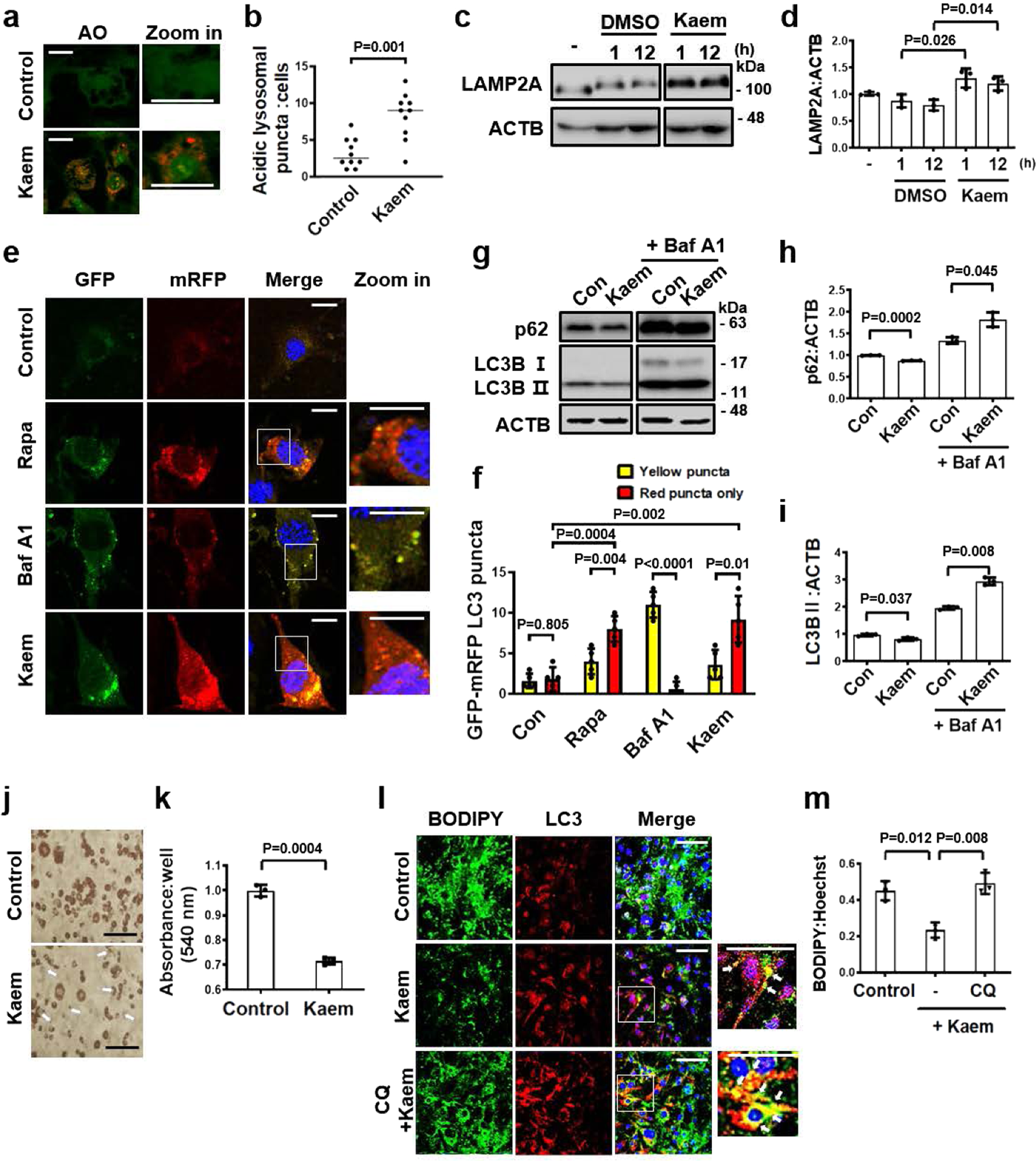
Fig. 3: Kaem reduces lipid droplets by inducing autophagy flux in 3T3-L1 cells.

a, b 3T3-L1 cells were differentiated to adipocytes, treated with DMSO control or Kaem for 24 h. Cells were stained with acridine orange (AO) and examined by confocal fluorescence microscopy. Representative images (a) and acidic lysosome red puncta (b). Kaem, 20 µM. Scale bar, 50 µm. Graph shows mean ± SD (n = 10). c, d 3T3-L1 cells were treated with DMSO control or Kaem for the indicated period. Cell extracts were subjected to western blotting using an anti-LAMP2A antibody. Representative images (c) and LAMP2A immunoblot band intensity normalized to ACTB (d). The blots were processed in parallel. Kaem, 20 µM. Graph shows mean ± SD from three independent experiments. e, f 3T3-L1 cells transfected with mRFP-GFP-LC3 were treated with rapamycin (Rapa), bafilomycin A1 (Baf A1), or Kaem for 24 h, followed by confocal microscopy. Representative images (e) and number of yellow and red puncta (f). Kaem, 20 µM; Rapa, 10 µM; BafA1, 10 nM. Scale bar, 10 µm. Graph shows mean ± SD (n = 5). g–i Differentiated 3T3-L1 cells were treated with Kaem in the absence/presence of bafilomycin A1 (Baf A1). Cell extracts were subjected to western blot analysis using antibodies against LC3B and p62. Representative images (g) and p62 (h) and LC3B (i) immunoblot band intensity normalized to ACTB. The blots were processed in parallel. Kaem, 20 µM; Baf A1, 10 nM. Graph shows mean ± SD from three independent experiments. j, k 3T3-L1 cells differentiated for 9 days treated with Kaem three times from days 4 to 8. Cells were stained with oil-red-O (ORO) and examined by microscopy. Representative images (j) and ORO dye were extracted, and optical density was measured using a plate reader (k). Scale bar, 100 µm. Graph shows mean ± SD (n = 3). l, m 3T3-L1 cells differentiated for 5 days were treated with Kaem in the absence or presence of chloroquine (CQ). Confocal microscopy was performed after immunostaining with anti-LC3 antibody and BODIPY 493/503 staining. Representative images, white arrows indicate co-localization of lipid droplets with LC3 (l). BODIPY intensity was measured using ImageJ2 (m). Kaem, 20 µM; CQ, 10 µM. Scale bar, 50 µm. Graph shows mean ± SD. Statistical significance was assessed by Student’s t-test. ***P < 0.001; **P < 0.01; *P < 0.05.