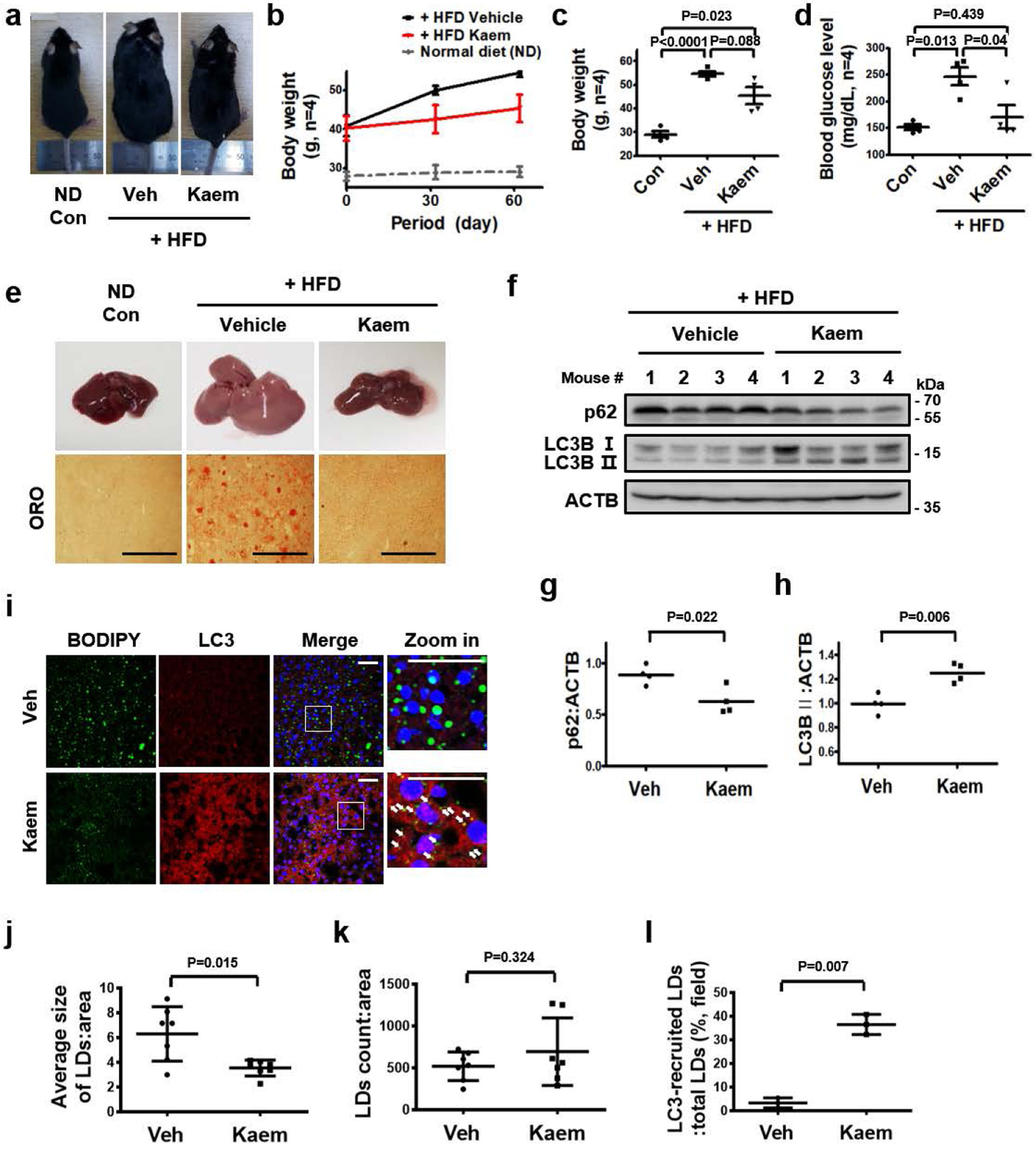
Fig. 4: Kaem ameliorates obesity in mice fed a high-fat diet (HFD).

C57BL/6j mice were fed an HFD for 2 months and treated with vehicle (Veh) or Kaem every 2 days. a Representative photographs of mice (n = 4). Intraperitoneal injection, Kaem, 10 mg/kg. b Bodyweight change during Kaem treatment. Graph shows mean ± SEM (n = 4). c Bodyweight on the final day (day 61). Graph shows mean ± SD (n = 4). d Non-fasting blood glucose level on the final day (day 61). Graph shows mean ± SD (n = 4). e After each mouse was sacrificed, the liver was removed. Representative photographs of the liver (upper). Tissues were sectioned at the 10-µm thickness, and microscopy was performed after staining with oil-red-o (ORO) (below). Scale bar, 1 mm. f–h Each mouse liver tissue lysate was subjected to western blot analysis using antibodies against p62 and LC3B. Representative images (f) and p62 (g) and LC3B (h) immunoblot band intensity normalized to β-actin. Graphs show mean ± SD (n = 4). i–l Liver tissues were sectioned at 10-µm thickness, and confocal microscopy was performed after immunostaining with anti-LC3 antibody and BODIPY 493/503 staining. Representative images, arrows indicate encircling of lipid droplets with LC3 (i). Average size of LDs (j), number of LDs (k), and (%) of LC3-recruiting LDs (l). Scale bar, 50 µm. Graphs show mean ± SD. Statistical significance was assessed by Student’s t-test. ***P < 0.001; **P < 0.01; *P < 0.05.