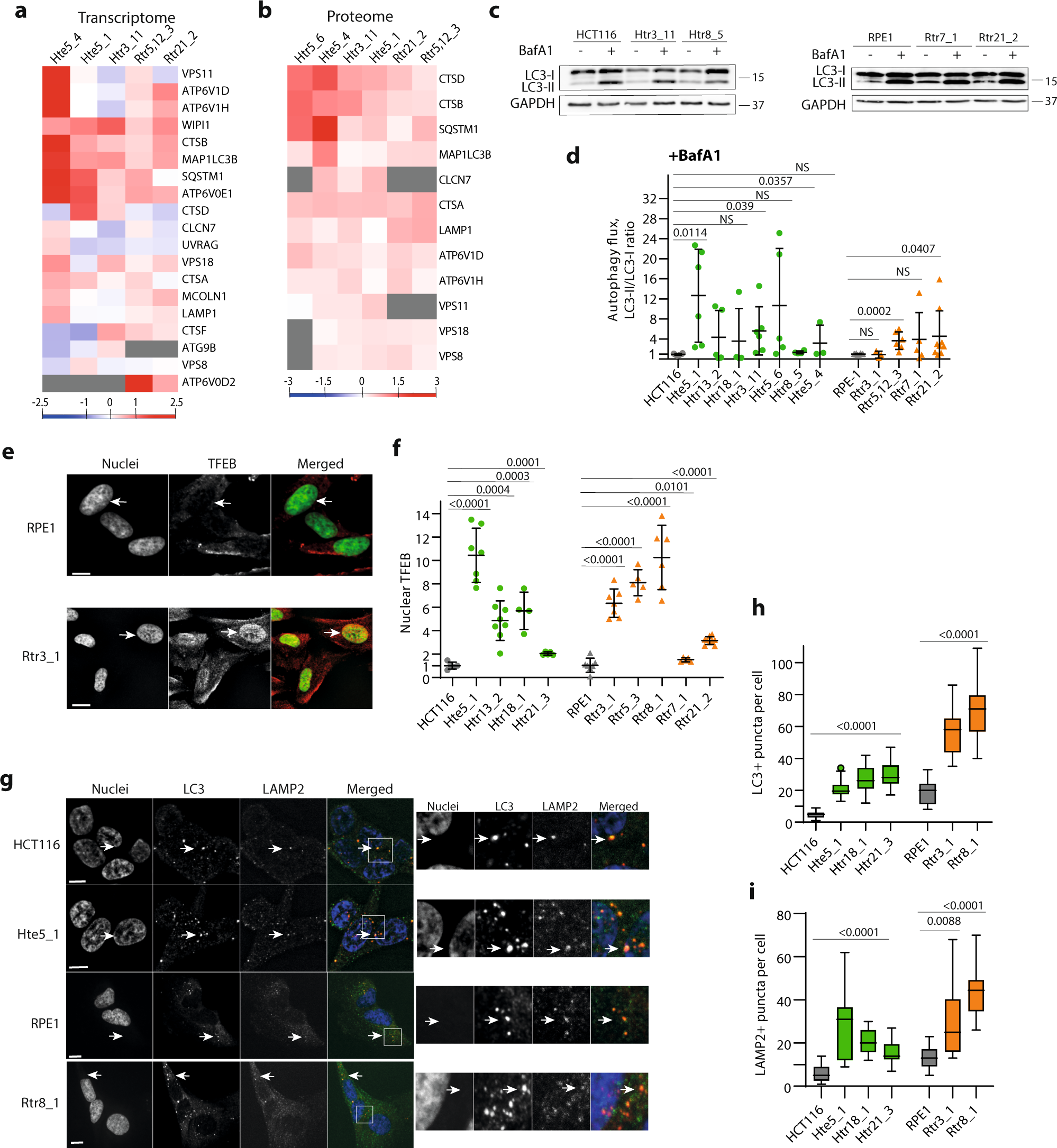
Fig. 1: Autophagy and lysosomal degradation is activated in cells with extra chromosomes.

a Transcriptome and b proteome analysis of TFEB targets. The heat maps show fold changes in trisomic and tetrasomic cells compared with parental diploids. c Immunoblotting of LC3; GAPDH serves as a loading control. d Quantification of the LC3-II/LC3-I ratios upon treatment with Bafilomycin A1 (BafA1) and in control DMSO-treated cells. Each point represents one independent biological experiment, 3–10 experiments were performed in each cell line. e Localization of TFEB was assessed by immunofluorescence analysis. White arrows point to the localization of the nucleus in these cells. f Quantification of the relative TFEB nuclear localization. The difference in mean fluorescent intensity (MFI) between nuclear and cytoplasmic signals was calculated and plotted relatively to control diploid cells. At least 2000 cells for HCT116 and 1000 cells for RPE1 cell lines were analyzed in each experiment, the means of each experiment are plotted. Each point represents the mean from one independent biological experiment, 4–7 experiments were performed in each cell line. g Immunofluorescence images of LC3 and LAMP2 localization in trisomic and diploid cells. White arrows indicate double-positive puncta. h, i Quantification of LC3- and LAMP2-positive puncta per cell. Number of analyzed cells: n = 30 for LC3, n = 20 for LAMP2 in each cell line. Unpaired t-test was used for statistical analysis, unless otherwise specified. Individual measurements, mean values, p-values, and standard deviations are shown in the plots, statistical evaluation is summarized in Supplementary table 4, and source data is available in Supplementary Data 5. Scale bar 10 µm. Mann–Whitney statistical analysis was applied for data in f.