Fig. 4: Knockdown study of YAP in polaprezinc-treated hBMSCs and RAW264.7 cells.
From: Drug repositioning of polaprezinc for bone fracture healing

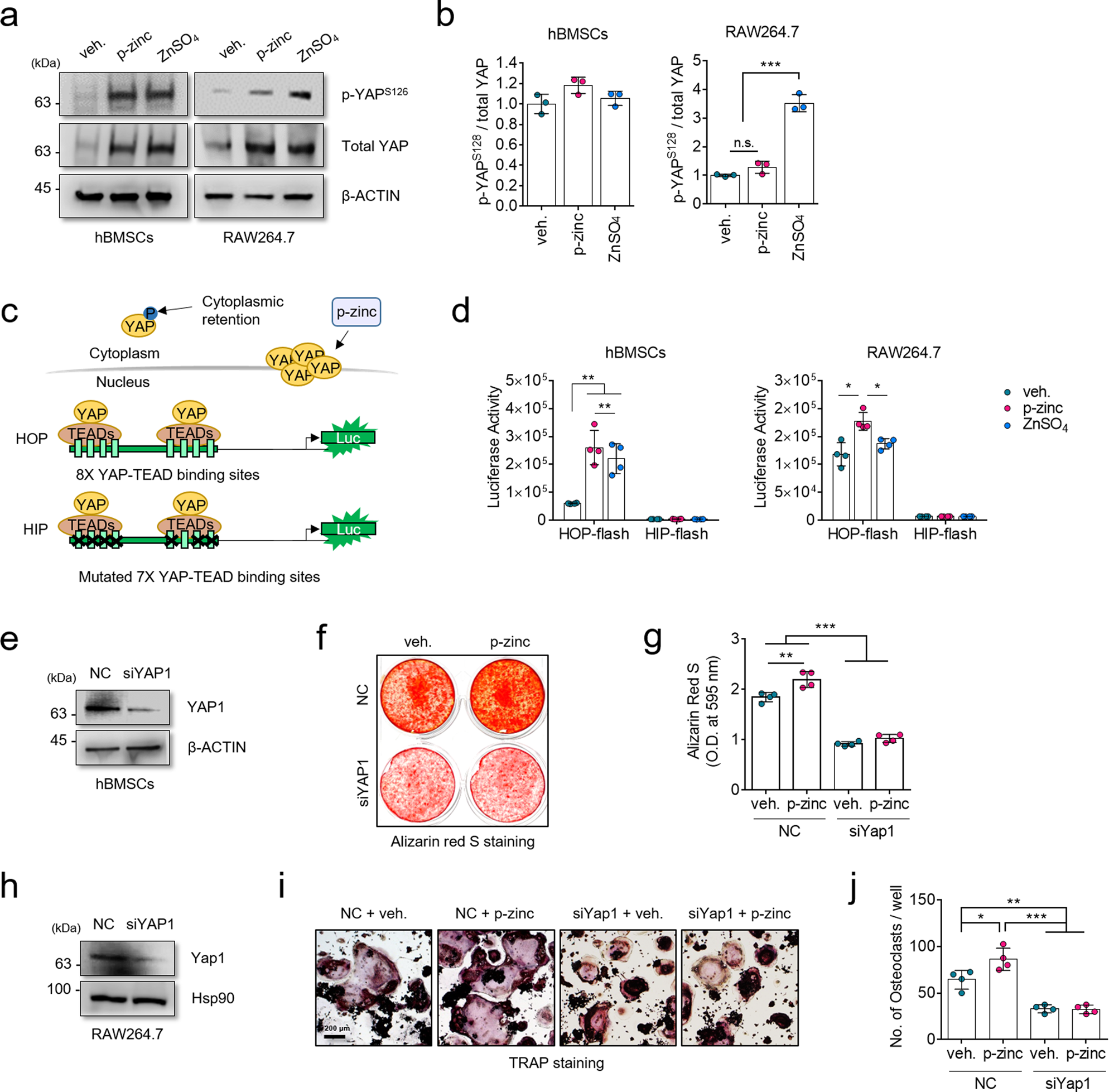
a Protein levels of YAP and phosphorylated YAPS126 were analyzed in hBMSCs and RAW264.7 cells using western blotting for cells treated with vehicle, polaprezinc (50 μM), or zinc sulfate (50 μM). b The band intensity was quantified using ImageJ software (n = 3, in triplicate) and the protein level of phosphorylated YAPS126 was normalized to total YAP protein level. ***P < 0.001 compared with vehicle-treated cells. c Schematic of the HOP/HIP-flash reporter assay. The HOP luciferase vector has eight YAP-TEAD binding sites whereas seven YAP-TEAD binding sites are mutated in the HIP vector. The quantitative increase of YAP protein by polaprezinc is expected to increase the transcriptional activity of YAP protein. d YAP-TEAD transcriptional activity was assessed by luciferase reporter constructs in hBMSCs or RAW264.7. *P < 0.05; **P < 0.01. e Western blot analysis of YAP1 protein levels upon transfection with or without YAP1 siRNA in hBMSCs. f Alizarin red S staining was performed to detect mineral deposition on day 14 in negative control or human YAP-targeting siRNA-transfected hBMSCs treated with vehicle or polaprezinc (50 μM). g For quantitative analysis of alizarin red S staining, absorbance was measured at 595 nm following destaining with 10% cetylpyridinium for 30 min. h Western blot analysis of Yap1 protein level transfected with or without Yap1 siRNA in RAW264.7. i Negative control or mouse YAP-targeting siRNA-transfected RAW264.7 cells treated with vehicle or polaprezinc (50 μM) were seeded into 24-well culture plates and treated for 5 days with RANKL (50 ng/mL). TRAP staining was performed to visualize TRAP-positive cells. Scale bar = 200 μm. j The number of TRAP-positive multinucleated osteoclasts (5 ≥ nuclei) was counted.