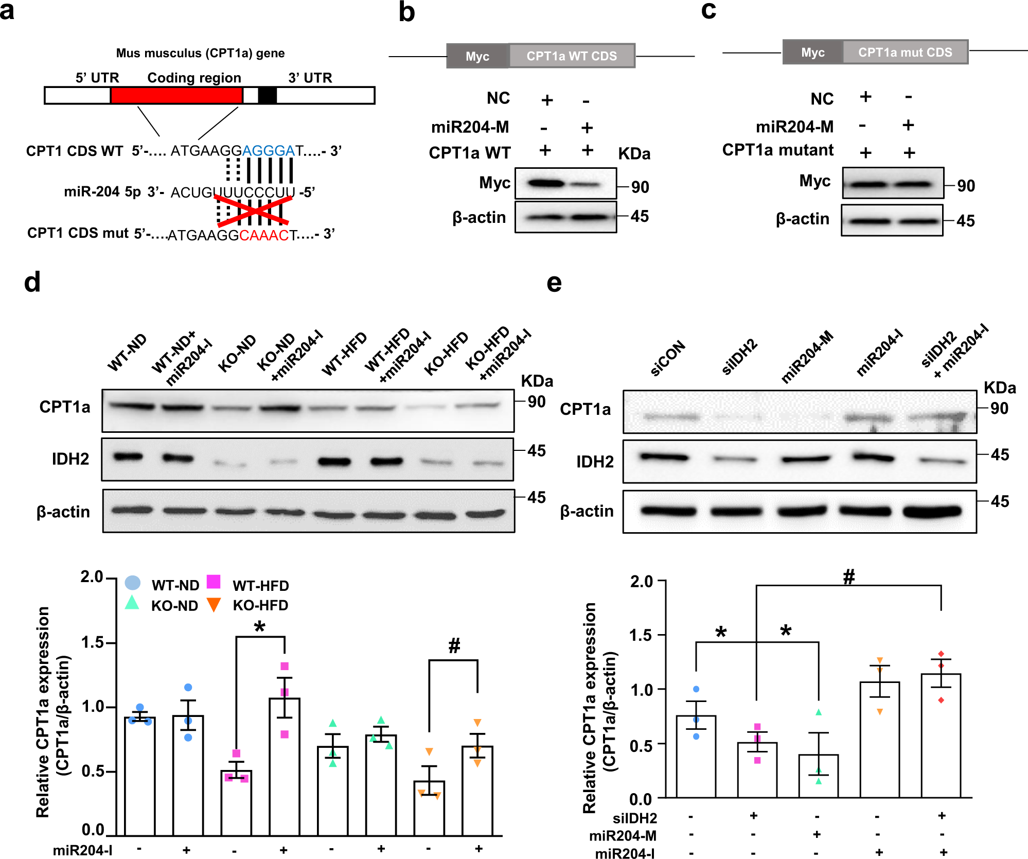
Fig. 4: miR204 binds to the coding region of cpt1a mRNA and inhibits translation of CPT1a in mouse hepatocytes.

a Expected binding site of cpt1a mRNA and miR204 from Homo sapiens and Mus musculus. b Overexpression of the miR204 duplex decreased the protein level of WT CPT1a. Construction of Myc-tagged WT CPT1a-coding region and western blots. c Overexpression of the miR204 duplex did not affect the protein level of mutant cpt1a. Construction of Myc-tagged and CPT1a mutated plasmid coding region and western blots. d Western blot analysis of CPT1a in ND- or HFD-fed WT and KO mice. e Western blot analysis of CPT1a in IDH2-deficient and miR204 inhibitor-treated mouse hepatocytes. β-actin was used as the internal control. Data are means ± SEM of three independent experiments (n = 3). $p < 0.05 vs. KO-ND mice. *p < 0.05 vs. siCON. #p < 0.05 vs. KO-HFD mice transfected with a miR204 mimic (204-M; overexpression).