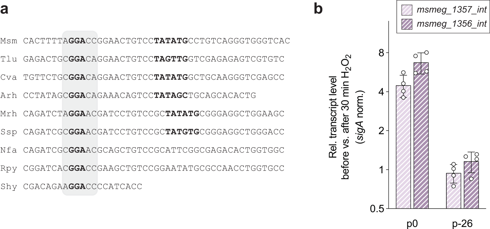
Fig. 6: The −26 region is essential for upregulation of the msmeg_1357-56 operon.

a Sequence alignment across actinobacterial species of the msmeg_1357-56 promoter region reveals conservation of a GGA triplet in the −26 region (gray area). b Δmsmeg1357-56 cells were complemented with an integrative plasmid containing the natural msmeg_1357-56 promoter (p0) and an integrative plasmid containing a scrambled −26 region (p-26). The cells were treated with 7 mM H2O2 and RT-qPCR analysis was performed. The msmeg_1357-56_int upregulation cannot be observed in cells carrying a mutated −26 motif in the msmeg_1357-56_int promoter. Relative transcript levels were calculated by normalizing CT values of msmeg_1357 and msmeg_1356 against sigA. Next, ΔCT values of msmeg_1357-56 of cells after H2O2 treatment were normalized against ΔCT values of cells before H2O2 treatment. Thus, 2-ΔΔCT values were calculated. Msm Mycobacterium smegmatis, Tlu Terracoccus luteus, Cva Corynebacterium variabile, Arh Arthrobacter rhombi, Mrh Micromonospora rhizosphaerae, Ssp Saccharopolyspora spinosa, Nfa Nocardia farcinica, Rpy Rhodococcus pyridinivorans, Shy Streptomyces hygroscopicus. Error bars represent the four biological replicates shown as individual data points.