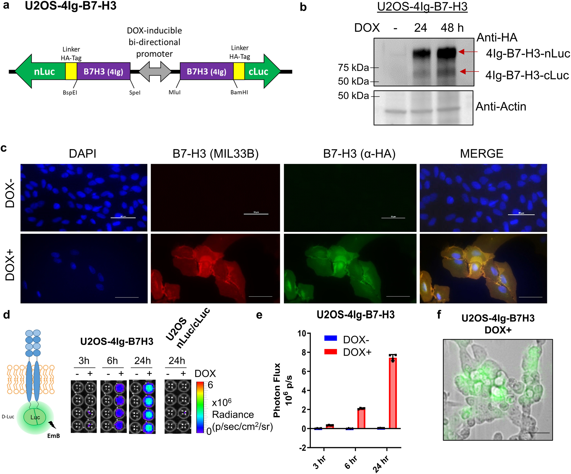
Fig. 5: 4Ig-B7-H3 forms dimers/multimers in live cells at endogenously expressed levels.

a Expression of 4Ig-B7-H3 in the ReBiL 2.0 system is controlled by both TetR-KRAB in the absence of doxycycline (expression repression) and rtTA2S-M2 in the presence of doxycycline (expression induction). A bidirectional tetracycline response element (TREbi) promoter controls expression of the two transgenes (human 4Ig-CD276-cLuc/nLuc fusions) simultaneously by tetracycline or doxycycline. Split-luciferase genes are linked to the 4Ig-B7-H3 proteins using a linker containing an HA-tag. b U2OS-4Ig-B7-H3 cells were treated with and without doxycycline for 0-48 h. Protein lysate was collected, and Western blot performed to confirm expression levels of 4Ig-B7-H3-nLuc and 4Ig-B7-H3-cLuc. Β-actin was used a loading control. c Confocal microscopy was performed on U2OS-4IgB7-H3 cells immunofluorescently stained with DAPI (nucleus), anti-B7-H3 (endogenous and exogenous B7-H3) and anti-HA (exogenous B7-H3) at 48 h post doxycycline induction. Expected cell membrane localization of B7-H3 was observed. Scale bars, 30 µm. d Model depicting 4Ig-B7-H3 homodimerization and bioluminescence complementation used throughout the study. U2OS-4IgB7-H3 cells were seeded in 96-well black-walled plates and incubated with or without doxycycline for 0-24 h. Cells were washed and incubated with fresh media and 200 nM D-luciferin for 30 min. Bioluminescent signals were measured with or without doxycycline addition (3-24 h) using an IVIS100 imaging system. Bioluminescence signal in doxycycline-induced U2OS-4Ig-B7-H3 ReBiL cells was significantly higher than in uninduced cells or empty split-Luc cells demonstrating 4Ig-B7-H3 dimerization/multimerization. e Photon flux was calculated over three independent experiments performed in technical triplicate and represented in the bar graph (mean ± SD). Photon flux was significantly higher (p < 0.001) when expression of 4Ig-B7-H3 was induced using doxycycline. f Bioluminescence microscopy of U2OS-4Ig-B7-H3 live cells treated with doxycycline for 24 h. BLI: 20-minute acquisition, open filter, D-Luciferase final concentration of 10 nm. 10X magnification. Scale bars, 50 µm.