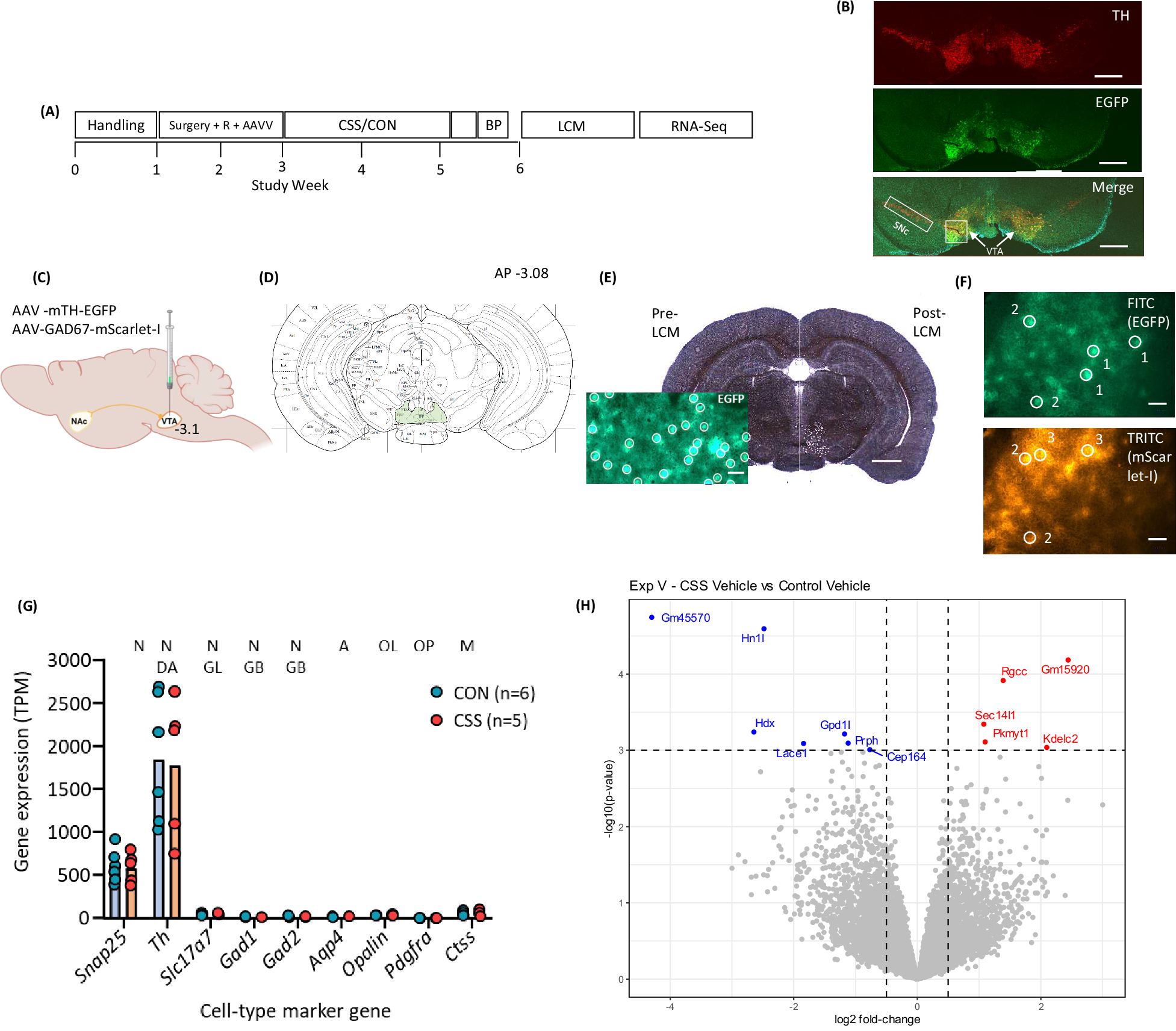
Fig. 4: Absence of effect of chronic social stress on population-level transcriptome expression of VTA DA neurons.

A Experimental design. Surgery + R + AAVV: stereotactic surgery, recovery, expression of AAV vectors; CSS/CON: CSS protocol or control handling; BP: brains were perfused with PBS; LCM: laser capture microdissection; RNA-Seq: RNA-sequencing and differential gene expression analysis. B Representative coronal image (20x) from brain of a mouse injected with AAV mTH-EGFP in the VTA at bregma −3.1 mm, and ex vivo immunostaining for TH. Both the AAV signal and the immuno-TH signal are concentrated in the VTA, whilst there is also immune-TH signal in the substantia nigra pars compacta (SNc). Scale bar = 500 µm. C Schematic showing bilateral injection site of AAV mTH-EGFP and AAV hGAD67-mScarlet-I in VTA. D Figure of coronal section from mouse atlas49 at bregma level −3.08 with VTA highlighted. E Representative coronal image (5x) from brain of a control mouse at bregma −3.1 mm pre- and post-LCM collection of EGFP+ tissue. Scale bar = 1000 µm. Inset: representative coronal image (20x), with white circles indicating areas of EGFP+ tissue demarcated for LCM. Scale bar = 100 µm. F Representative coronal image (20x) using the FITC channel to visualise EGFP+ tissue and the TRITC channel to visualise mScarlet-I+ tissue. 1 = EGFP+ tissue samples for collection; 2 = EGFP+/mScarlet-I+ tissue samples not for collection; 3 = mScarlet-I+ tissue samples not for collection. Scale bar = 100 µm. G Expression levels (transcript per million; individual and group mean values) of cell type-specific marker genes in CON and CSS mice: N = neuron, N-DA = DA neuron, N-Gl = glutamate neuron, N-GB = GABA interneuron, A = astrocyte, OL = oligodendrocyte, OP = oligodendrocyte progenitor cell, M = microglia. H Volcano plot for differential gene expression in CSS compared with CON mice: significantly up-regulated genes in CSS mice are shown in red and significantly down-regulated genes are shown in blue. Image (C) was created with BioRender.com. Image (D) was used with permission of Elsevier, from The Mouse Atlas, G. Paxinos & K.B.J Franklin, 2nd edition, 2001; permission conveyed through Copyright Clearance Center, Inc.