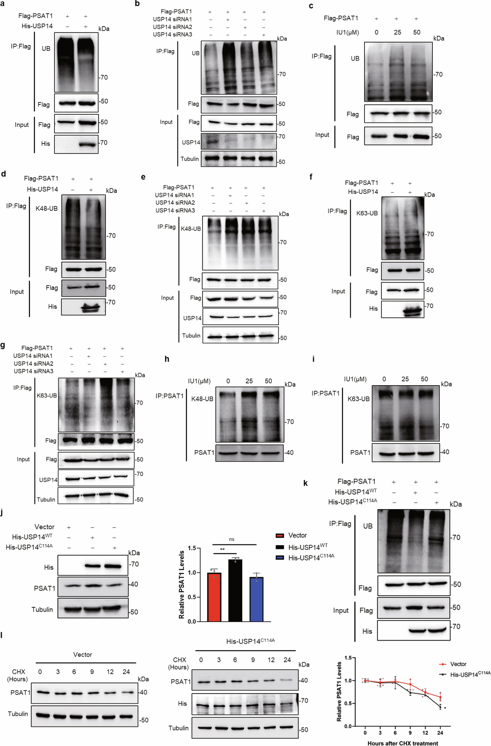
Fig. 4: USP14 regulates the K48-linked ubiquitination of PSAT1.

a, b In H1299 cells, Flag-PSAT1 and His-USP14 plasmids or USP14 selective siRNA were co-transfected. Co-IP was used to detect the ubiquitination level of PSAT1. c In H1299 cells, Flag-PSAT1 plasmid was transfected with different concentrations of IU1 treatment. Co-IP was used to detect the ubiquitination level of PSAT1. d, f In H1299 cells, Flag-PSAT1 and His-USP14 plasmids were co-transfected. Co-IP was used to detect the K48-linked or K63-linked ubiquitination level of PSAT1. e, g In H1299 cells, Flag-PSAT1 plasmid and USP14 selective siRNAs were co-transfected. Co-IP was used to detect the K48-linked or K63-linked ubiquitination level of PSAT1. h, i H1299 cells were treated with different concentrations of IU1. Co-IP was used to detect the K48-linked or K63-linked ubiquitination level of PSAT1. j H1299 cells were transfected with His-USP14WT or His-USP14C114A plasmids. The PSAT1 protein expressions were detected by Western blot. The relative PSAT1 expression compared with that of Tubulin was quantified. Data represented as the average of three independent experiments (mean ± SD), ns: P > 0.05, **P < 0.01. k H1299 cells were transfected with Flag-PSAT1 plasmid alone or co-transfected with His-USP14WT or His-USP14C114A plasmids. Co-IP was used to detect the ubiquitination level of PSAT1. l H1299 cells were experimented with CHX (100 μg/mL) for various time points and were transfected with His-USP14C114A. The PSAT1 protein expressions were detected by Western blot. The relative PSAT1 expression compared with that of Tubulin was quantified. Data represented as the average of three independent experiments (mean ± SD), *P < 0.05.