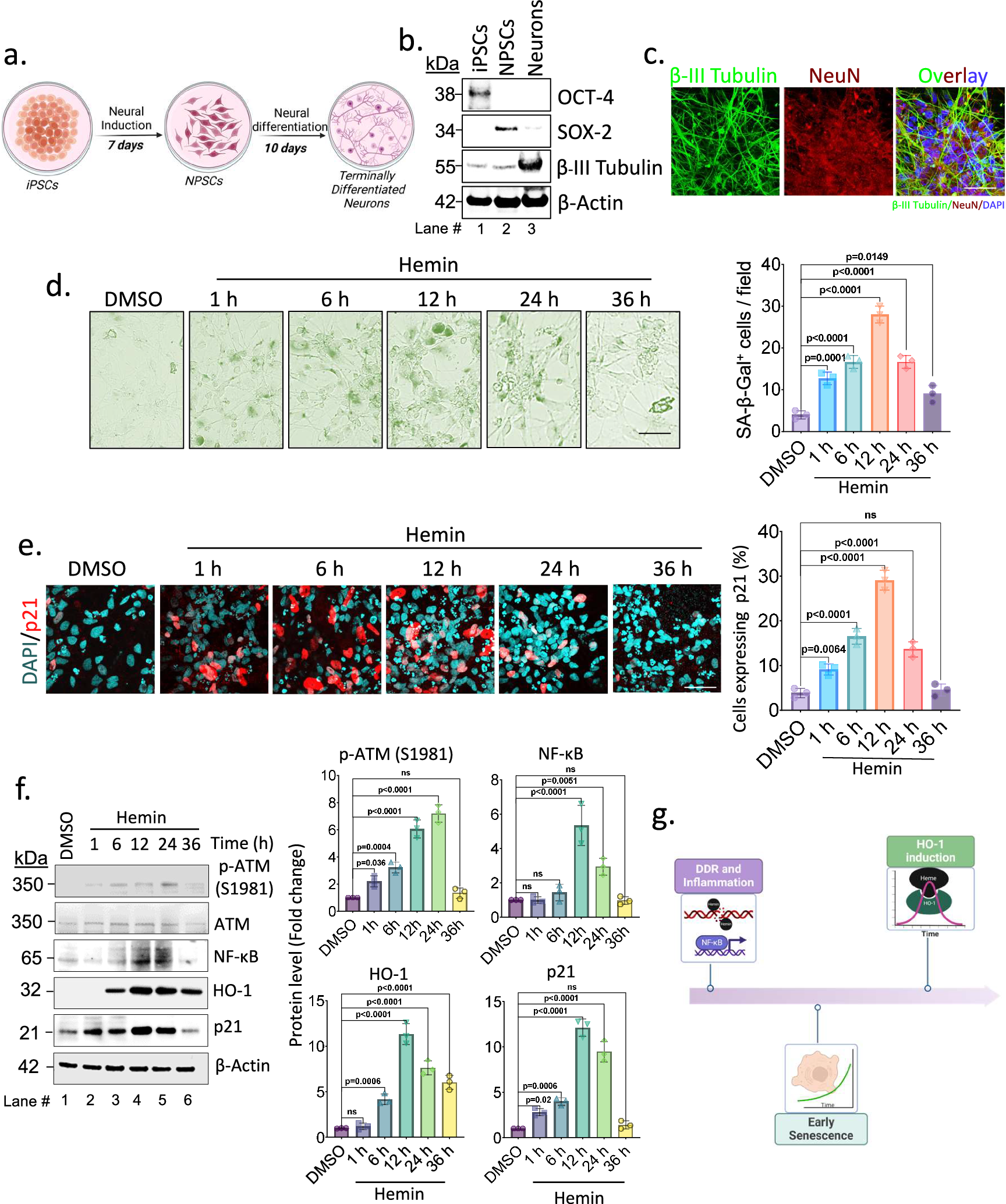
Fig. 2: Hemin-mediated cellular events in terminally differentiated neurons.

a A schematic representation depicting the process of differentiating neurons from iPSCs. b Western blot analysis of markers for iPSCs (OCT-4), NPSCs (SOX-2), and neurons (β-III Tubulin). c Immunofluorescence (IF) staining of iPSCs-derived neurons, showing labeling with β-III tubulin and NeuN, nuclear counterstained with DAPI. Scale bar = 10 µm. d Time kinetics of SA-β-Gal staining in iPSCs-derived neurons treated with hemin (10 µM), DMSO-treated cells were used as the control. Scale bar = 10 µm. Quantitation data presented as mean ± s.e.m. from three independent experiments. e IF analysis of p21 expression following treatment with or without hemin over time. Quantitation data presented as mean ± s.e.m. from three independent experiments. Scale bar = 20 µm. f Western blot analysis of p-ATM (S1981), NF-ĸB (p65), p21, and HO-1 in response to hemin treatment (lanes 2-6) at different time points. Quantitation data presented as mean ± s.e.m. from three independent experiments. g A schematic representation summarizing the various cellular events mediated by hemin in SH-SY5Y cells and iPSCs-derived neurons. All statistical analyses were performed by one-way ANOVA, p-values are indicated in the respective graphs.