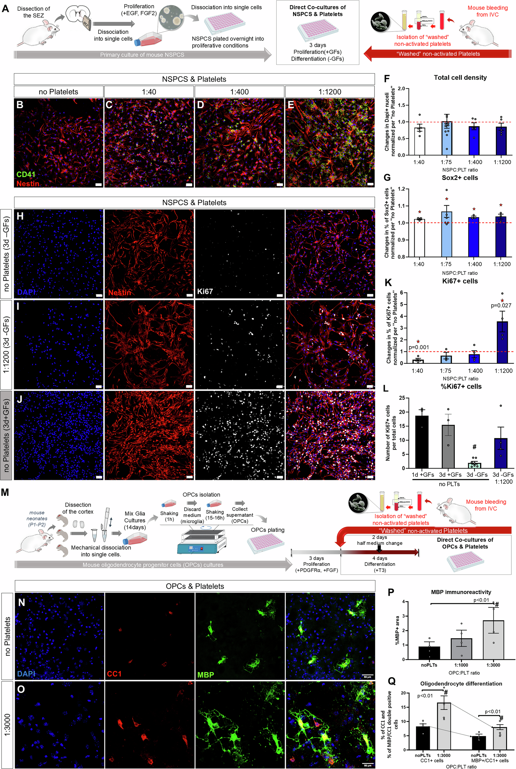
Fig. 1: Co-culture of platelets with NSPCs and OPCs.
From: Platelets regulate neural and oligodendroglial progenitors when infiltrating the brain parenchyma

A, M Schematic illustrations of the experimental plans. B–E, H–J Confocal microscopy microphotographs of NSPC cultures without platelets (PLTs, as in B, H and in J) and of NSPCs co-cultured with PLTs at different ratios, after immunostaining for KI67 (to mark proliferating cells, in white), CD41 (to mark PLTs, in green), and NESTIN (to mark NSPCs, in red). Note that the culture shown in (J) is in proliferation conditions. F, G, K Graphs showing the changes in the total number of cells (in F), or in the percentage of Sox2+ (in G), and Ki67+ (in K) cells, after co-culturing NSPC and PLTs at different ratios in differentiation conditions. The scatter plot bars show mean values and error bars the SEMs. The value of each NSPC biological sample (formed by 1 to 3 technical replicates) is depicted with a circle and is normalized per the “no-platelets” culture of the same sample, which is at “1.0” and is indicated by the red, dotted line. L Graph showing the percentage of Ki67+ cells after immunostaining of pure NSPC cultures in the presence or absence of growth factors (GFs), for 1 or 3 days and in NSPC/PLT co-cultures at a 1:1200 ratio for 3 days without GFs. N, O Microphotographs of OPC cultures (in N) and of OPC/PLT co-cultures (in O), after immunostaining for CC1 (in red) and MBP (in green). P, Q Graphs showing the percentage of MBP+ immunoreactivity (in P) and the percentage of CC1+ and MBP+ cells, per optical field, in pure OPC (no PLTs) cultures and in OPC/PLT co-cultures at different ratios. Note that all MBP+ cells co-express CC1 and that the fraction of CC1+ cells that have matured to also express MBP (indicated by the arrows) is similar (at approximately 60%) irrespectively of the presence of platelets. [Statistical analyses were performed with 1-way ANOVA, followed by the Tukey post-hoc analysis. Solid, red, stars indicate a significant (p < 0.05) change compared to “no PLTs”. The hash mark in (L) indicates significant difference compared to all the other conditions and in (P, Q) highlights the statistical differences indicated by the horizontal brackets. Scale bars: 50 μm] [Numeric data available in Supplementary Data 1].