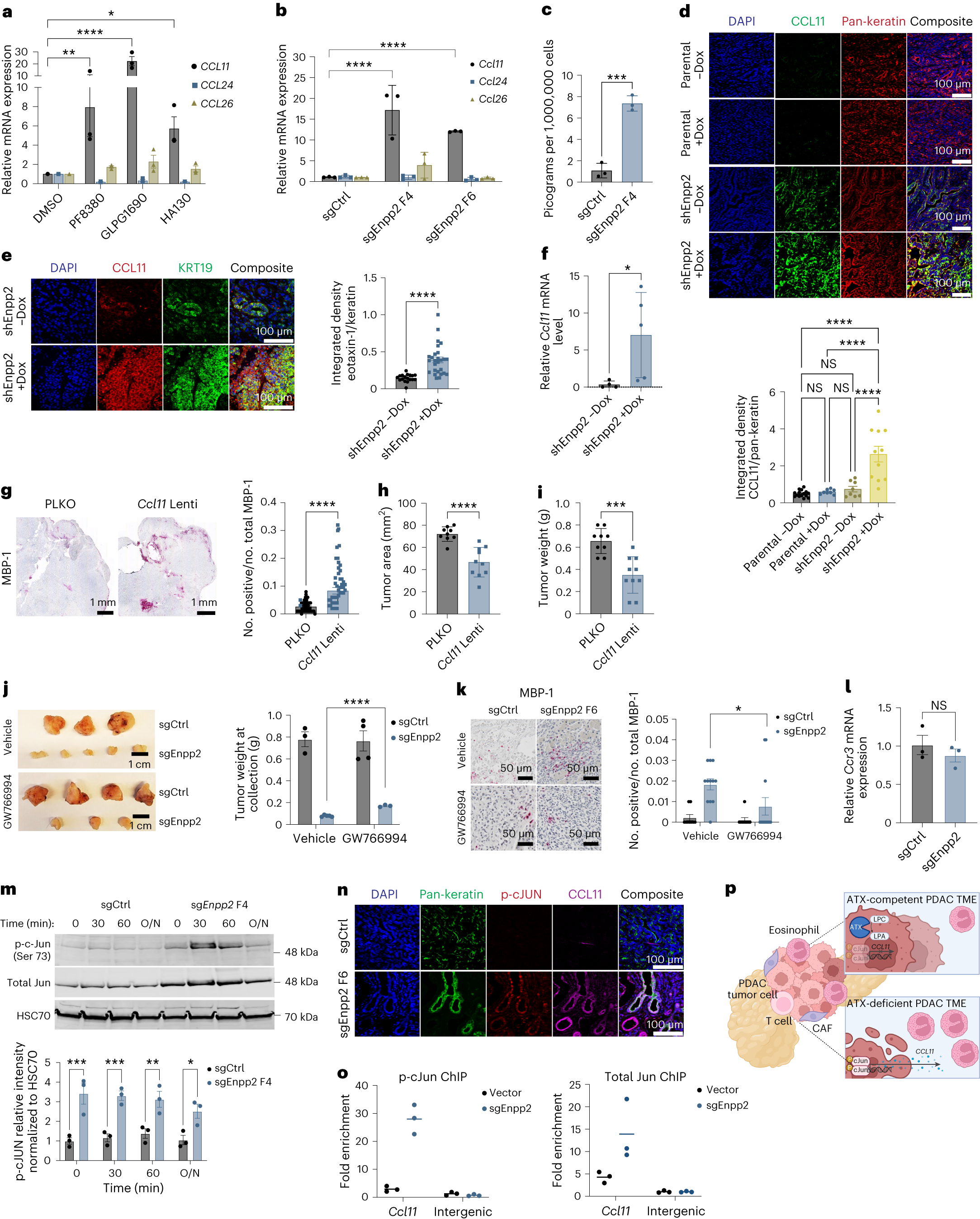
Fig. 5: ATX disrupts AP-1 activity and Ccl11 expression.

a, Transcript levels in 8988T human PDAC cells treated with the indicated ATX inhibitors at a concentration of 10 μM for 24 h. Data are presented as mean ± s.e.m. from three experiments; *P = 0.0335, **P = 0.0029 and ****P < 0.0001, as determined by two-way ANOVA. b, Quantification of the indicated transcript targets in FC1245 cells, plotted as mean ± s.e.m. (n = 3 experiments); ****P < 0.0001, as determined by two-way ANOVA. c, CCL11 concentration in conditioned medium, shown as mean ± s.e.m. from three experiments; ***P = 0.0004, as determined by two-tailed unpaired t-test. d, Immunohistochemistry data plotted as mean ± s.e.m. (parental –Dox: n = 31 ROIs from three tumors; parental +Dox: n = 24 ROIs from three tumors; shEnpp2 –Dox: n = 16 ROIs from two tumors; shEnpp2 +Dox: n = 18 ROIs from three tumors); ****P < 0.0001, as determined by one-way ANOVA. e, RNA fluorescence in situ hybridization data, presented as mean ± s.e.m. (–Dox: n = 18 ROIs from two mice; +Dox: n = 27 ROIs from three mice); ****P < 0.0001, as determined by two-tailed unpaired t-test. f, Ccl11 mRNA expression from EpCAM+ tumor cells, presented as mean ± s.e.m. (n = 5 tumors per group); *P = 0.0317, as determined by two-tailed unpaired t-test. g, MBP-1 staining in vector (n = 45 ROIs from five FC1245 tumors) or Ccl11-overexpressing (n = 45 ROIs from nine FC1245 tumors) tumors. Data are shown as mean ± s.e.m.; ****P < 0.0001, as assessed by two-tailed unpaired t-test; Lenti, lentivirus; PLKO, empty lentiviral vector. h,i, Tumor size, as determined by ultrasound (h) and tumor weights (i), presented as mean ± s.e.m. (n = 9 per group); ***P = 0.0002 and ****P < 0.0001, as determined by two-tailed unpaired t-test. j, Tumor images and weights, plotted as mean ± s.e.m. (n = 3–4 mice per condition); ****P < 0.0001, as determined by two-way ANOVA. k, MBP-1 staining, plotted as mean ± s.e.m. (sgCtrl: n = 9 ROIs; sgEnpp2: n = 13 ROIs from n = 3 mice per group); *P = 0.0500, as determined by two-tailed unpaired t-test. l, Ccr3 mRNA from sorted eosinophils, presented as mean ± s.e.m. (n = 3 tumors per group); data were analyzed by two-tailed unpaired t-test. m, Western blots of FC1245 nuclear lysates with quantification plotted as mean ± s.e.m. (n = 3 independent experiments); *P = 0.0212, **P = 0.0059, ***P = 0.0009 (0 min) and ***P = 0.0003 (30 min), as determined by two-way ANOVA; O/N, overnight; p-c-Jun, phospho-c-Jun. n, Staining of FC1245 tumors (n = 4 mice per group). o, Chromatin immunoprecipitation (ChIP) of FC1245 cells followed by RT–qPCR for the Ccl11 promoter, plotted as individual technical triplicates with means. p, Schematic depicting interactions among ATX signaling, eotaxin regulation and eosinophil infiltration in PDAC; CAF, cancer-associated fibroblast; LPC, lysophosphatidylcholine; TME, tumor microenvironment.