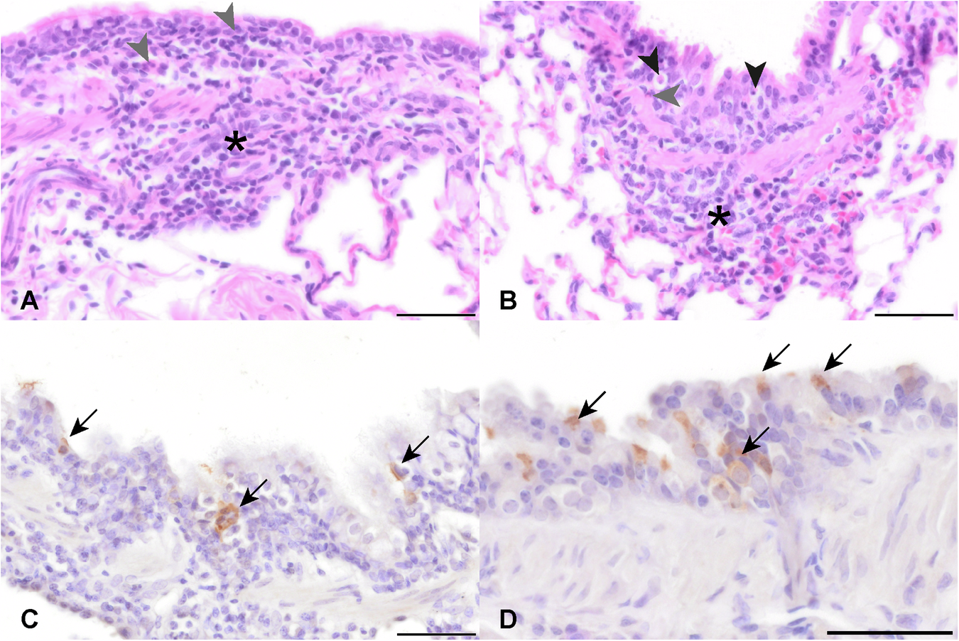
Fig. 5: RSV infection of conductive airway mucosa.

A multifocal infiltration of intra-epithelial (grey arrowheads) a moderate multifocal peribronchial mononuclear cell infiltrate (asterisk) is present within H&E strained sections of the bronchial and bronchiolar mucosa of ferrets (A) and hamsters (B). Multifocal respiratory epithelial cells in ferret (C) and hamsters (D) lung tissue are immunolabeled for RSV antigen by chromogenic DAB immunochemistry (arrow). Bars (A–D), 50 μm.