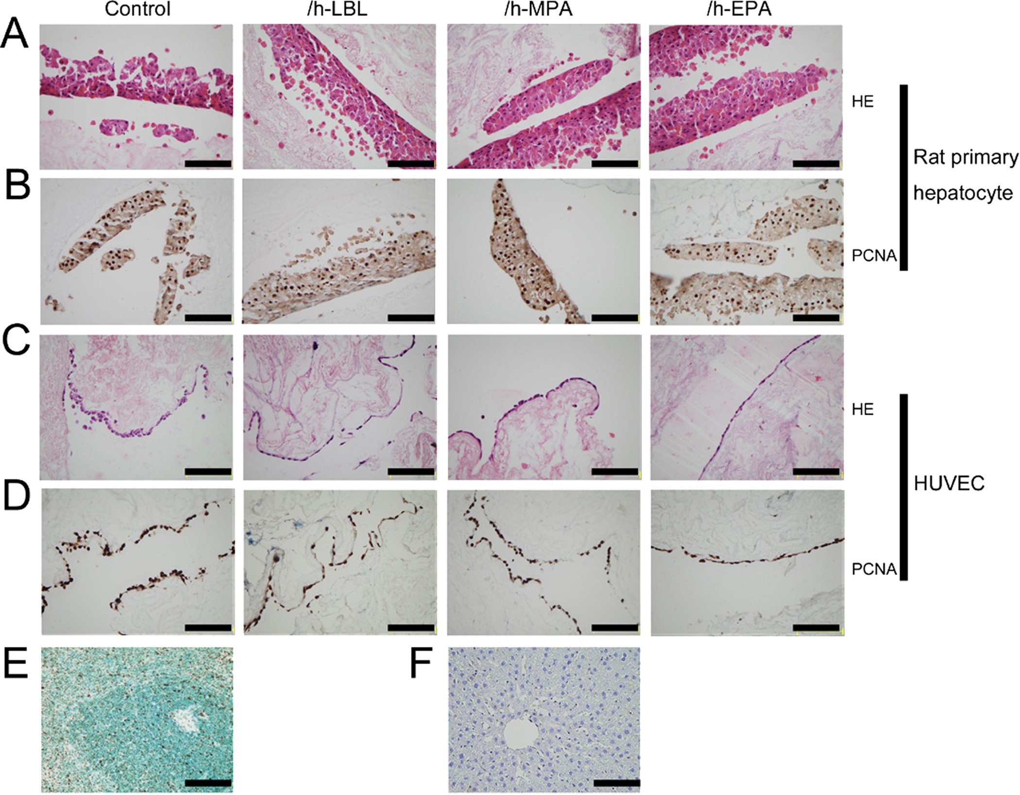
Figure 8

Cells seeded on the various heparinized DLSs for 3 days.
(A) H&E staining of rat primary hepatocytes. (B) Immunohistochemical analysis of rat primary hepatocytes proliferation stained for proliferating cell nuclear antigen (PCNA), approximately 80% of cells stained positive (brown nuclei) in each group. (C) H&E staining of human umbilical vein endothelial cells (HUVECs). (D) Immunohistochemical analysis of HUVECs proliferation stained for PCNA, approximately 100% of cells stained positive (brown nuclei) in each group. (E) Immunohistochemical stained rat spleen tissue for PCNA as positive staining control, brown nuclear is positive stained. (F) Immunohistochemical stained rat liver tissue for PCNA as negative staining control. From left to right: control, /h-LBL, /h-MPA and /h-EPA. Scale bars: 50 μm.