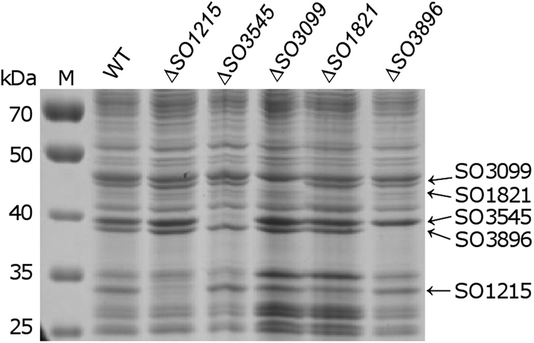
Figure 1

Major porins in the outer membrane (OM) in S. oneidensis.
WT represents the wild-type strain. Cells were grown overnight in LB and subcultured 1:200 in fresh medium. OM proteins were extracted and separated on SDS-PAGE. Bands indicated are β-barrel proteins identified by MS/MS analysis and validated by comparing to the corresponding mutant. Experiments were repeated at least three times and representative results were shown.