Figure 1
From: Inner retinal oxygen metabolism in the 50/10 oxygen-induced retinopathy model

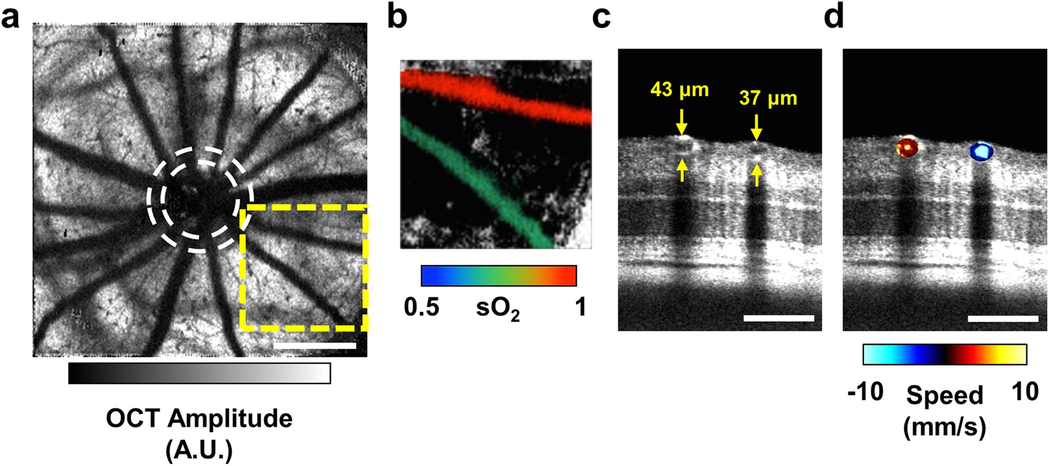
Multi-parameter assessment of oxygen delivery and metabolism with visible-OCT.
(a) En face maximum amplitude projection of the shadows of the inner retinal vessels. White dashed circles indicate the approximate inner and outer scanning paths for dual-circle Doppler OCT. A.U.: arbitrary units. Scale bar: 500 μm. (b) An artery-vein pair from the yellow dashed box in (a) color-coded according to measured sO2. (c) An angular section from the outer circle of the dual-circle scan, showing the artery-vein pair in (b) and their respective measured diameters. Scale bar: 100 μm (d) The same artery-vein pair color-coded according to speed measured by Doppler OCT after phase unwrapping. Scale bar: 100 μm.