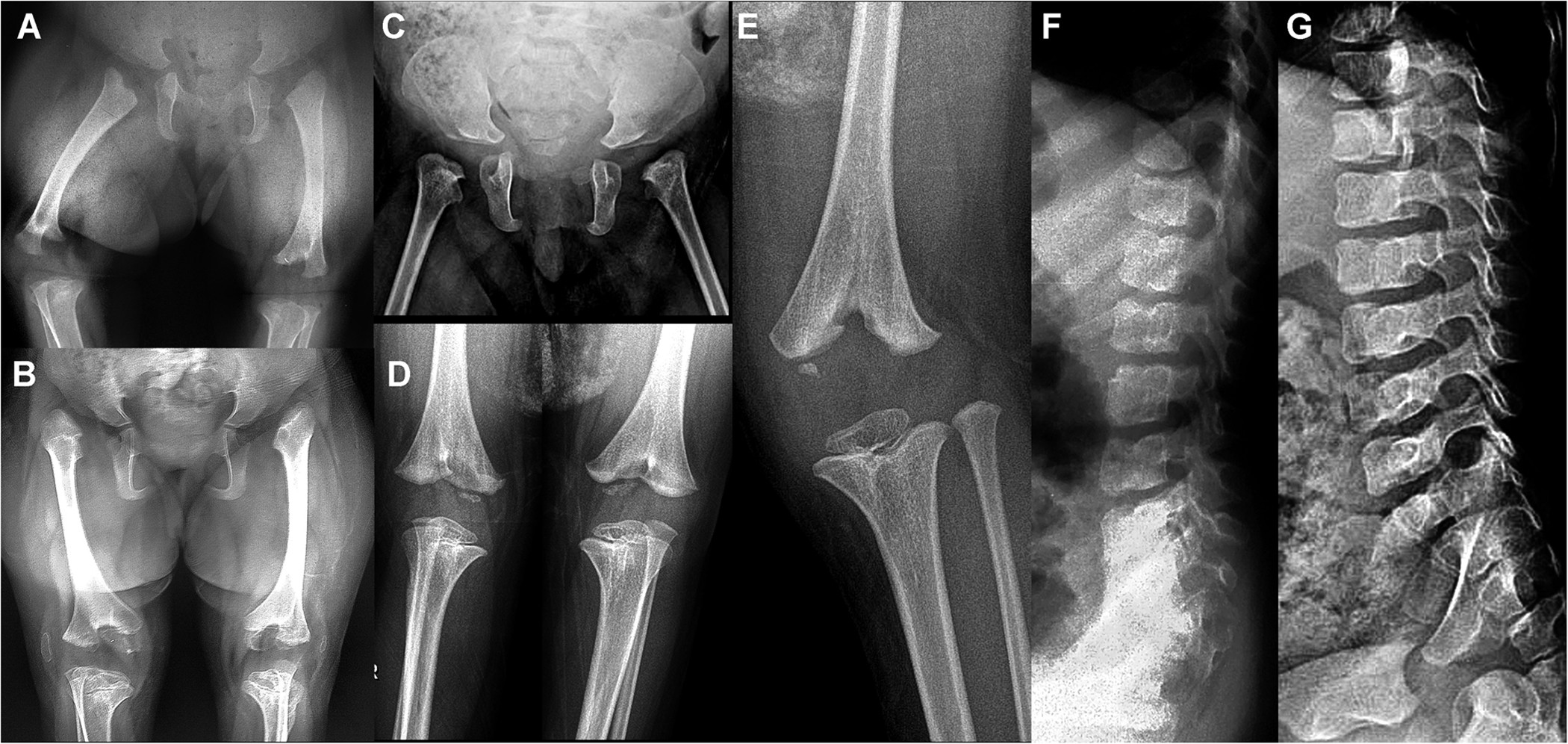
Figure 2

Skeletal-radiographic features.
Panels A and B: patient 2 at birth (A) and at age 5 years (B) showing underossified pubic bones; bilateral dysplasia of the femoral heads at birth resulting in hip dislocation at age 5 yrs; and a “bifid” appearance of the distal femur with epiphyseal delay at birth, with dysplastic epiphyses that are “socketed” in the bifid femur at age 5 yrs; and small, laterally dislocated patellae. Panels C, D and E: Patient 1 at birth (C) with dysplastic femoral heads and at age 4 years (D,E) showing the bifid distal femur and the markedly dysplastic distal femoral epiphyses. The proximal tibial epiphyses are too small but less severely affected. Panels F and G: lateral lumbar spine of patient 3 at age 3 yrs (F) and of patient 1 at age 4 yrs (G) showing remnants of coronal clefts of the vertebral bodies. The clefts are prominent at birth and gradually disappear as ossification progresses.