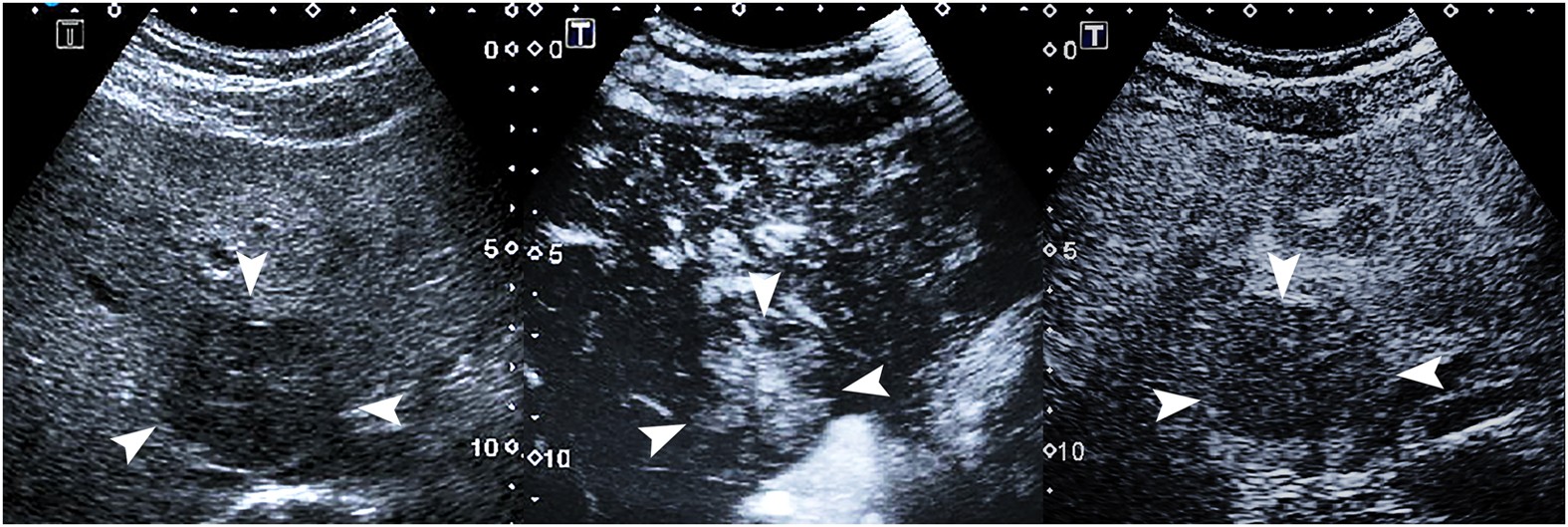
Figure 4

Focal nodular hyperplasia in a 29-year-old man.
(a) A 5.4-cm lesion (arrows) in the liver shows hypoechogenicity on conventional ultrasound. (b) Contrast- enhanced ultrasound shows spoke-wheel arteries (arrow) in the lesion 12ās after contrast agent administration. (c) The lesion (arrows) shows hypoenhancement in comparison with adjacent liver tissue 69ās after contrast agent administration.