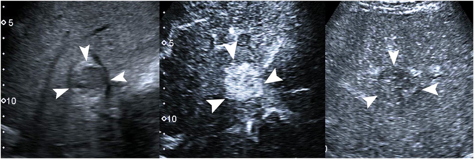
Figure 5

Hepatocellular carcinoma in a 74-year-old man.
(a) A 2.9-cm lesion (arrows) in the liver shows hypoechogenicity on conventional ultrasound. (b) Contrast- enhanced ultrasound shows hyperenhancing (arrow) in the lesion 32ās after contrast agent administration. (c) The lesion (arrows) shows hypoenhancement in comparison with adjacent liver tissue 139ās after contrast agent administration.