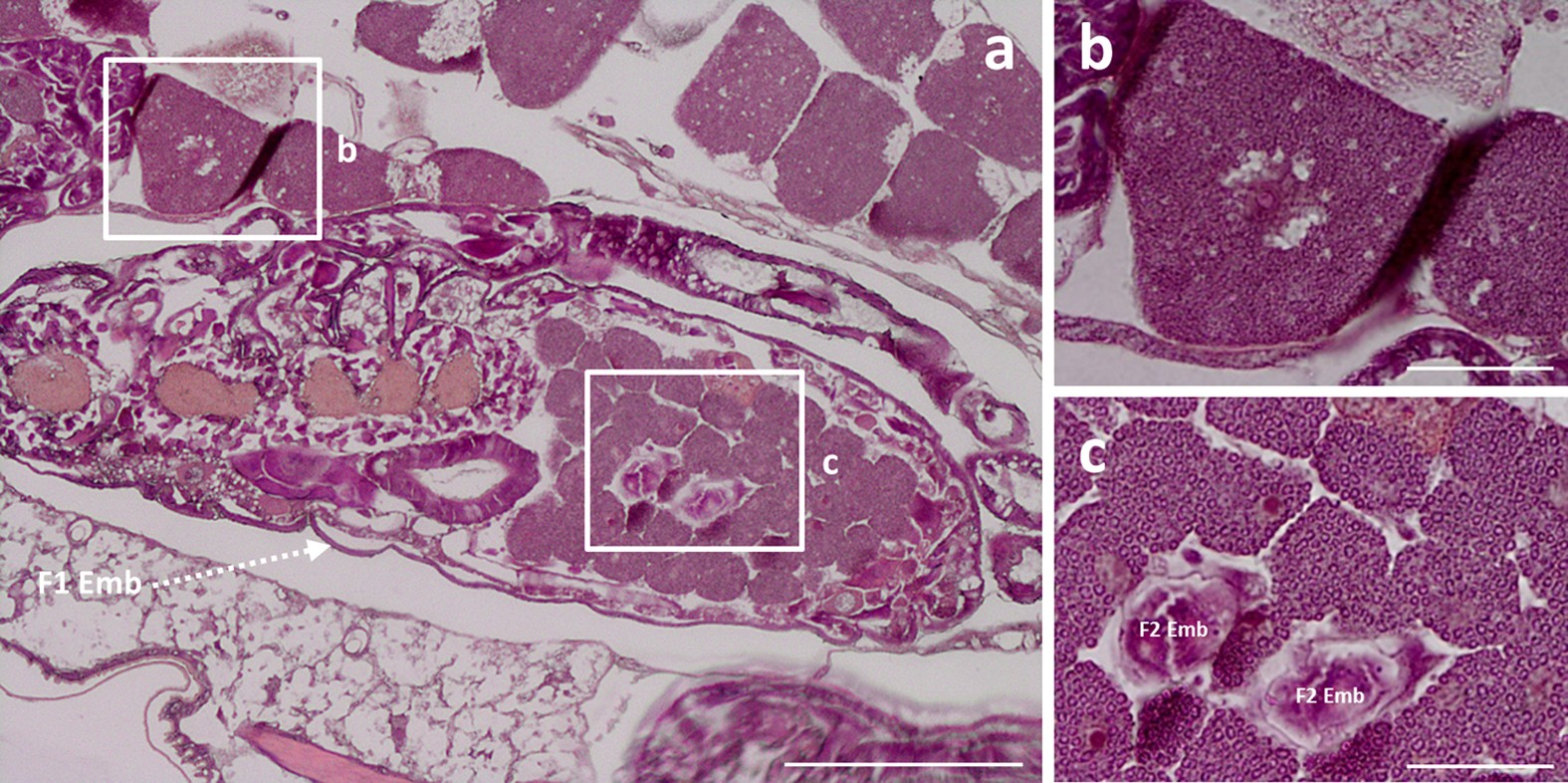
Figure 7

Histological comparison of bacteriocyte sizes between maternal and embryonic bacteriocytes in pea aphid nymphs.
The hematoxylin and eosin staining performed on parthenogenetic N4 nymph sections (a) led to the clear identification of maternal (b) and late embryo bacteriocytes (c). Abbreviations: F1 Emb, embryos of the F1 generation; F2 Emb: embryos of the F2 generation (as described for the telescoping of generations in parthenogenetic aphids). Scale bars = 200 μm (a) or 50 μm (b,c).