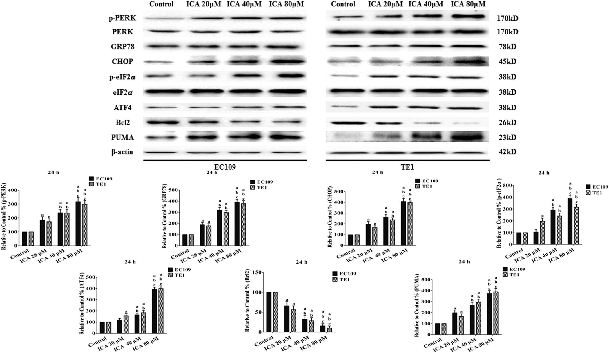
Figure 6

Effect of ICA on ERS signaling and the Bcl2 family of proteins in human ESCC cells (24 h).
Representative Western blot results of p-PERK, GRP78, CHOP, p-eIF2α, ATF4, Bcl2 and PUMA are shown. Membranes were re-probed for β-actin expression to show that similar amounts of protein were loaded in each lane. The results are expressed as the mean ± SD; n = 6. aP < 0.05 vs. the control group; bP < 0.05 vs. the 20 μM ICA-treated group; cP < 0.05 vs. the 40 μM ICA-treated group.