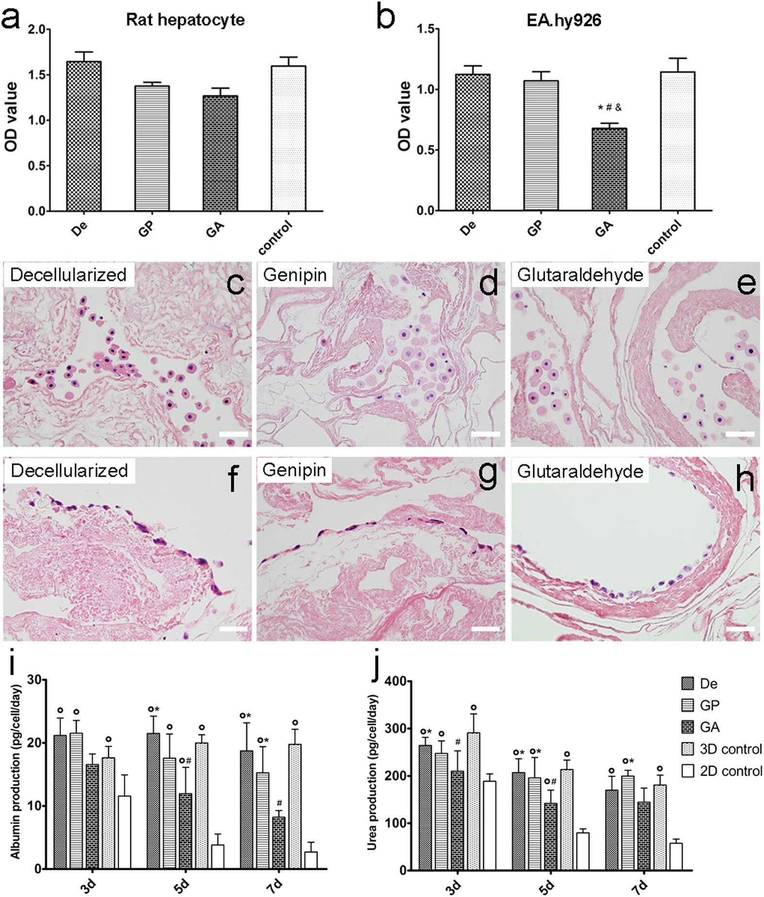
Figure 3

Cells seeded on the uncrosslinked and crosslinked liver ECMs.
(a) Cell viability assay for rat primary hepatocytes seeded on liver ECMs at day 3. (b) The effect of liver ECMs on the cell viability of EA.hy926 endothelial cells at day 3. The normal single layer culture was used as control. (c–e) H&E staining of liver ECMs with rat primary hepatocytes. Scale bars = 50 μm. (f–h) H&E staining of human of liver matrices with EA.hy926 endothelial cells. Scale bars = 50 μm. (i) Albumin production of rat primary hepatocytes in each group at day 3, day 5 and day 7. (j) Urea production of rat primary hepatocytes at day 3, day 5 and day 7. De = decellularized; GP = genipin; GA = glutaraldehyde; 3D control = sandwich culture; 2D control = single layer culture. *p < 0.05 with respect to GA group, #p < 0.05 with respect to 3D control group, op < 0.05 with respect to 2D control group. All data are given as the mean ± SEM (n = 6/each group).