Figure 2
From: Acral Melanoma in Chinese: A Clinicopathological and Prognostic Study of 142 cases

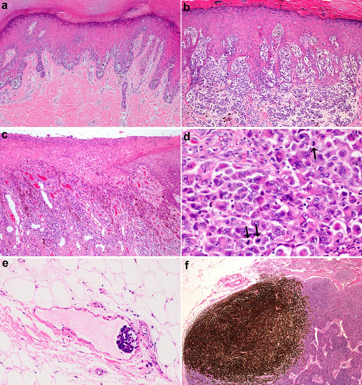
(a) ALM in situ. Lentiginous proliferation of atypical melanocytes along the basal epidermis (original magnification ×100). (b) ALM with vertical growth phase, Clark level IV (original magnification ×100). (c) Ulceration (original magnification ×100). (d) Scattered mitoses in dermal lesion of melanoma (arrows) (original magnification ×400). (e) Vascular invasion by melanoma cells in septa of adipose tissue (original magnification ×200). (f) Melanoma metastasis with prominent pigment in regional lymph node (original magnification ×40).