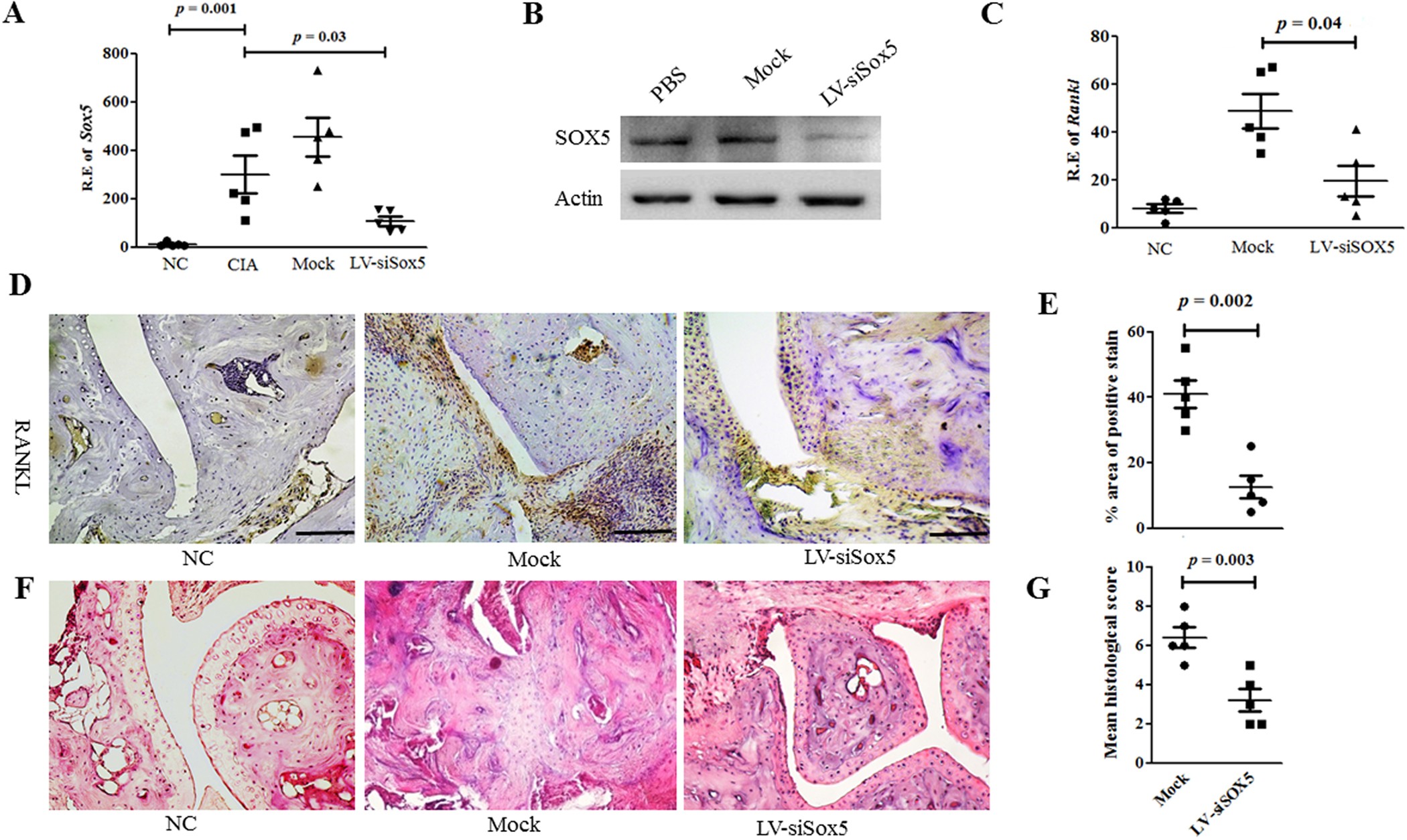
Figure 5
From: Modulation of IL-6 induced RANKL expression in arthritic synovium by a transcription factor SOX5

Lentivirus-mediated Sox5 gene silencing ameliorated clinical symptoms and bone erosion in CIA mice.
(A) Real–time PCR analysis of Sox5 expression in arthritic joint from NC, CIA, mock siRNA and LV-siSox5 treated CIA mice at day 24 after the second immunization (n = 5, per group). (B) Western blot analysis of Sox5 levels in the joint tissue of immunized mice 24 days after treatment with LV-siRNA or Mock siRNA. (C) Real-time-PCR analysis of Rankl expression in the synovium from LV-siSox5 or Mock siRNA treated CIA mice. (D) Immunohistochemical detection of RANKL positive cell expression in synovium samples from CIA mice after treatment with LV-siSox5 or Mock siRNA. (E) Percentage of SOX5 positive area in synovium from mock and LV-siSox5 treated CIA mice. (F) H&E histological analysis of representative ankle sections of normal and CIA mice with intra-articular injection of LV-siSox5 or Mock siRNA at day 24 after the second immunization. (G) Histological scores of ankle sections shown at day 24 after the second immunization (n = 5). Scale bar, 100 μm. Values are means ± SM.