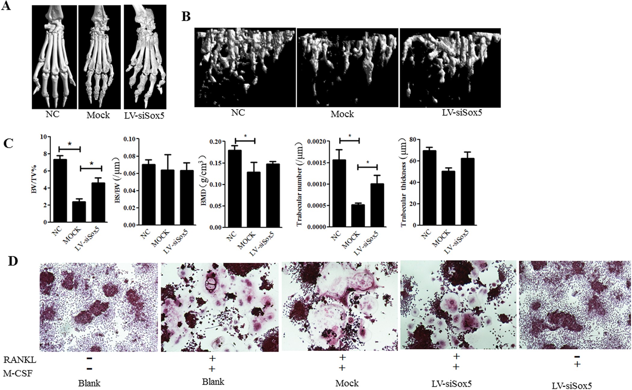
Figure 6
From: Modulation of IL-6 induced RANKL expression in arthritic synovium by a transcription factor SOX5

Bone erosion in the joint of Sox5 gene silencing CIA mice.
(A) Representative CT scan photographs of hind paws at day 24 after the second immunization. Scale bar, 100 μm. (B) Representative longitudinal 3D micro-CT images showing changes in trabecular bone microarchitecture regions from LV-siSox5 or Mock siRNA treated CIA mice. (C) Structural parameters in LV-siSox5 or Mock siRNA treated CIA mice. (D) Osteoclast formation in osteoclast precursor cell line RAW264.7 transfected with Lv-siSox5 or mock in presence and absence of RANKL. Values are means ± SD. BV/TV: Percent bone volume; BS/BV: Bone surface/volume ratio; BMD: bone mineral density.