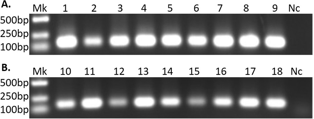
Figure 2

The Infection rate detection of FLEs-Hd in field colony of H. doenitzi.
Lanes 1 to 11 (A) Mk, DNA Marker; 1, female No. 1; 2, female No. 2; 3, female No. 3; 4; female No. 4; 5, female No. 5; 6, female No. 6; 7, female No. 7; 8, female No. 8; F9, female No. 9; Nc, negative control. Lanes 1 to 11 (B) Mk, DNA Marker; 10, male No. 1; 11, male No. 2; 12, male No. 3; 13; male No. 4; 14, male No. 5; 15, male No. 6; 16, male No. 7; 17, male No. 8; 18, male No. 9; Nc, negative control. The gels were run under the same experimental conditions. Cropped gels are presented (Full-length gels are shown in Supplementary Fig. 2).