Figure 8
From: Thapsigargin sensitizes human esophageal cancer to TRAIL-induced apoptosis via AMPK activation

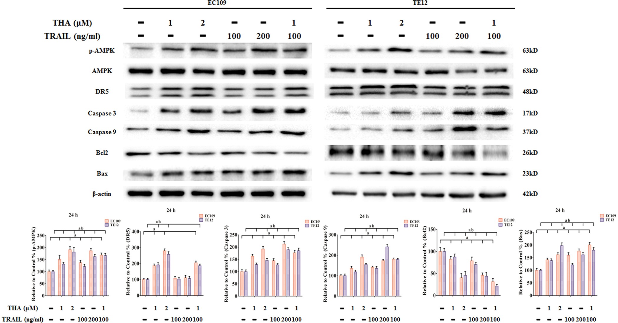
Effect of Thapsigargin and TRAIL co-treatment on AMPK phosphorylation, DR5 upregulation, and apoptosis-associated proteins in human ESCC cells (24 h).
Representative Western blot results of p-AMPK, DR5, Caspase 3, Caspase 9, Bcl2 and Bax are shown. Membranes were re-probed for β-actin expression to show that similar amounts of protein were loaded in each lane. The results are expressed as the mean ± SD; n = 6. aP < 0.05 vs. the control group in EC109 cells, abP < 0.05 vs. the control group in TE12 cells.