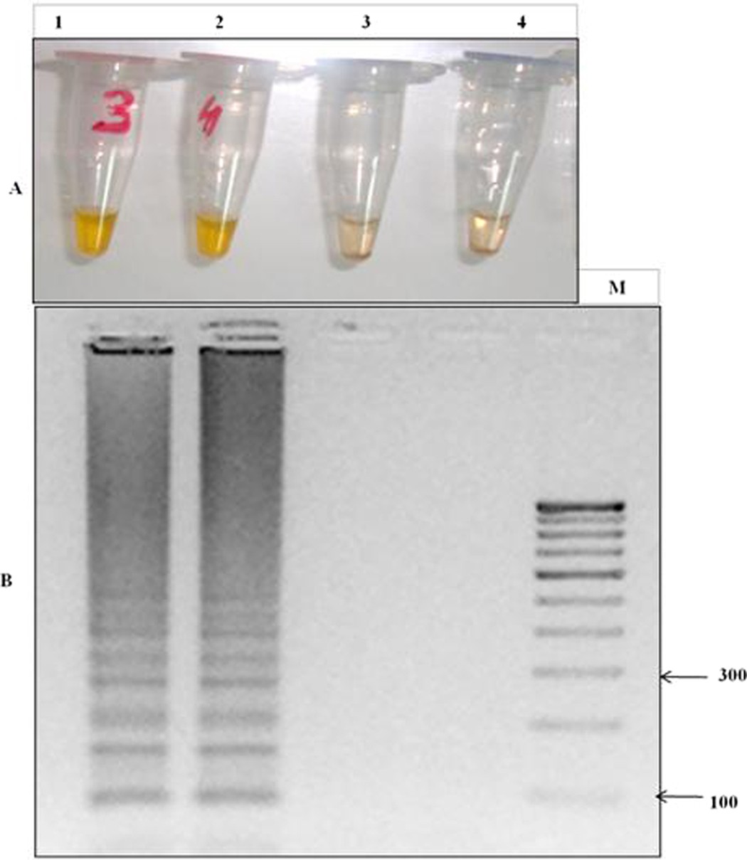
Figure 2: LAMP detection of the K76T mutation through primer set FIPM4 in CQ resistant P. falciparum and gel electrophoresis of LAMP products.

(A) Loop-mediated isothermal amplification (LAMP) detection of the chloroquine-resistant mutants (K76T) of P. falciparum: LAMP detection indicated by color change reaction of calcein, bright yellow color was observed when Pfcrt gene has K76T mutation but reaction remains light orange if Pfcrt gene has no mutation or different mutation. Tube no. 1 indicates positive control strain of P. falciparum (RKL9) having K76T mutation and 2 indicate the mutant sample visualized by calcein bright yellow color positive reaction, tube no. 3 indicated wild type sample and tube 4 indicates wild type control strain NF54 used as negative control visualized by calcein light orange color. For the validity of LAMP results mutant control RKL9 and wild type control NF54 was used in each experiment. (B) LAMP detection by gel electrophoresis: The positive reaction was indicated by a ladder-like pattern on 3.0% agarose gel; M- 100 bp ladder, Lane 1 and 2 showed ladder like pattern of positive reaction (CQ resistant mutants), while lane 3 and 4 showed no amplification in negative reaction (CQ wild type).