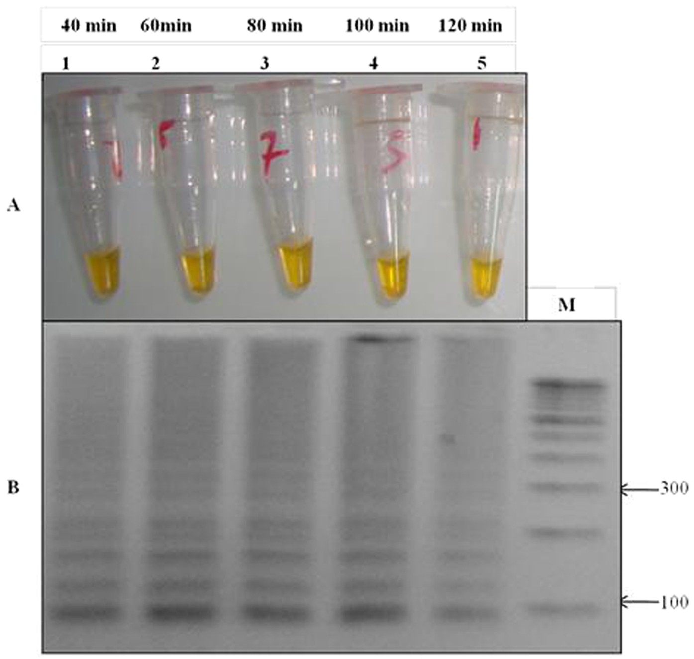
Figure 4: Optimization of LAMP reaction time conditions.

(A) Assessment was based on calcein color change visualization: Tube no. 1 to 5 shows the tested time range the best color change from light orange to bright yellow was observed at 61 °C min for 60 min, indicated by tube no. 2. (B) Gel electrophoresis of LAMP product at different time range: M- 100 bp ladder, lane 1 to 5 showed time range from 40 to 120 min, the best amplification of LAMP product was observed at 60 min indicated in lane 2.