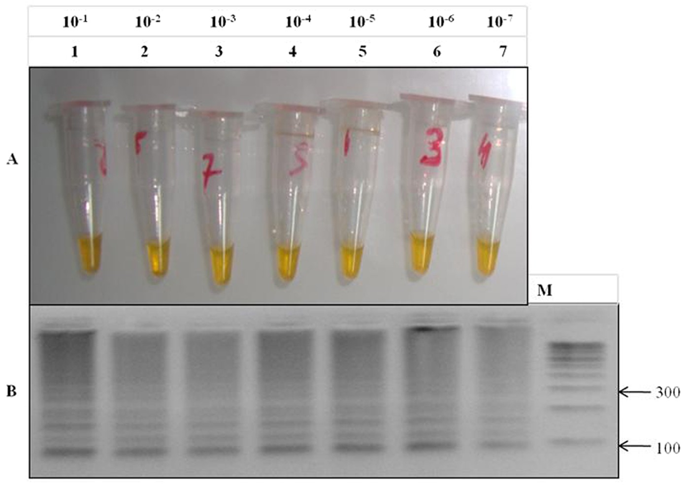
Figure 6: Sensitivity of loop-mediated isothermal amplification (LAMP) versus gel electrophoresis.

(A) Sensitivity of LAMP for the detection of Pfcrt K76T mutation in CQ resistant samples of P. falciparum: CQ resistance detection by LAMP and calcein visualization at various dilutions, the minimum limit of LAMP detection is up to 10−7 (<2 ng/μl DNA concentration) fold dilutions as shown in tube no. 7. (B) Gel electrophoresis of LAMP product to check the sensitivity: M- 100 bp ladder, lane 1 to 7 indicates the dilutions, minimum detection limit showed by light band pattern of lane no. 7 having 10−7 dilution (<2 ng/μl DNA concentration).