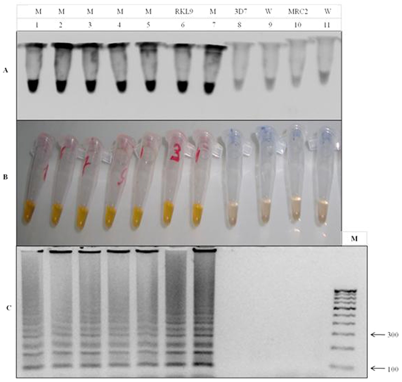
Figure 7: Specificity detection of loop-mediated isothermal amplification (LAMP).

(A) Assessment was based on calcein color change visualization under Trans UV light: Fluorescence was observed in mutant strains indicated in tube no. 1 to 5 and the reaction was validated by mutant control indicated in tube no. 6. In contrast there was no fluorescence found in the wild type strain indicated by tube no. 9 & 11 and their validation was done by wild type control indicated in tube no. 8 & 10. (B) Calcein color change visualization in day light condition: CQ resistant mutant strains of P. falciparum is indicated by bright yellow color showed in tube no. 1 to 5 with positive control RKL9 indicated in tube no. 6, in contrast the CQ wild type strain showed light orange color reaction indicated by tube no. 9 and 11, with wild type control 3D7 and MRC2 (tube no. 8 & 10). (C) Assessment was based on gel electrophoresis: M- 100 bp ladder, lane 1 to 7 showed amplification in CQ resistant mutants with positive control RKL9 (lane 6) in contrast there was no amplification in wild types indicated in lane 8 to 11 including the wild type control 3D7 and MRC2.