Figure 4: McpM promoter region has multiple binding sites for phosphorylated OmpR.
From: Microcin PDI regulation and proteolytic cleavage are unique among known microcins

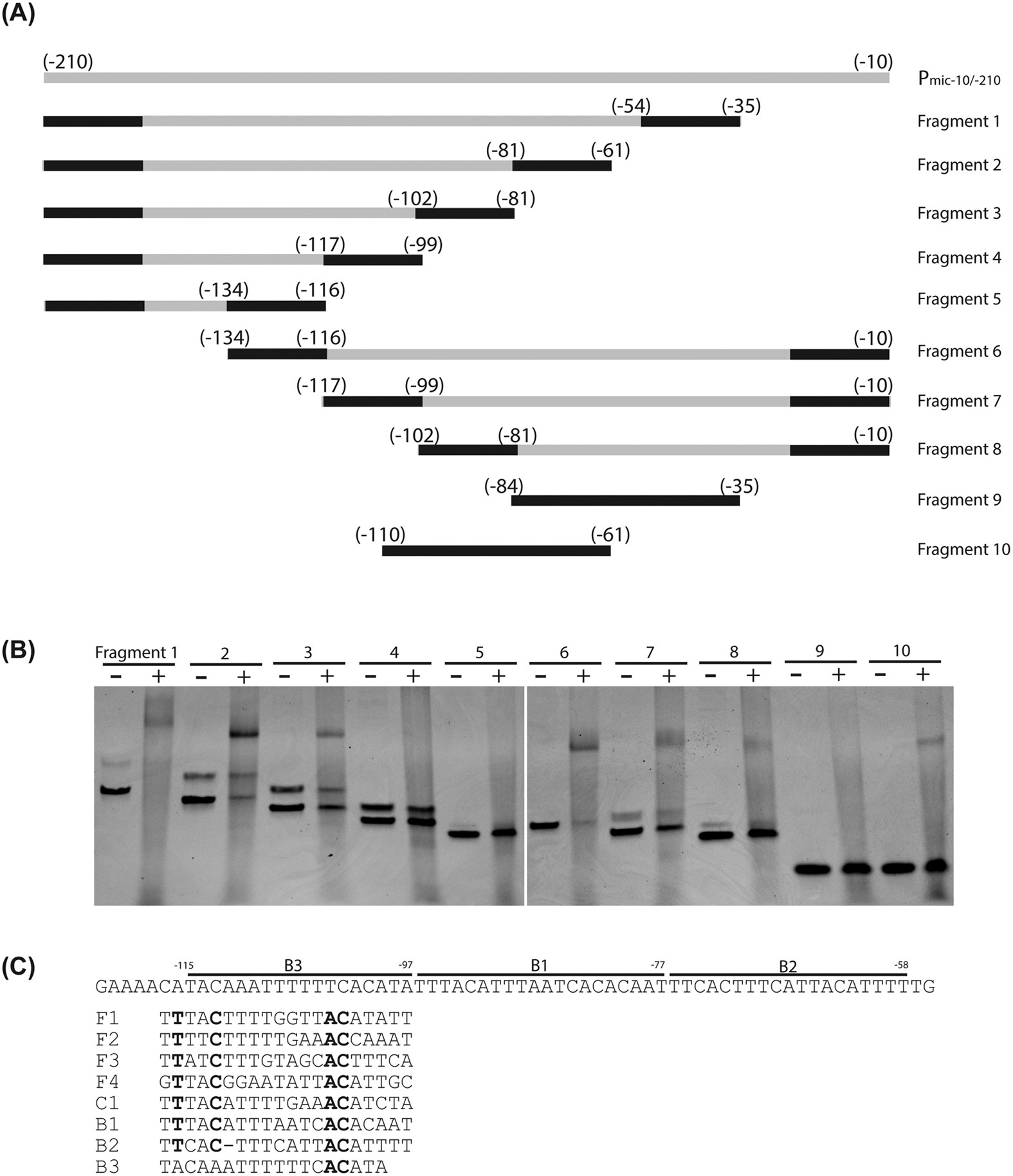
(A) Diagram of the 10 DNA fragments that were selected from within the promoter region of mcpM. Fragments 1–8 were obtained by PCR amplification with black bars indicating the primer position. Fragments 9–10 were obtained by annealing complementary oligonucleotides. (B) EMSA of each DNA fragment (~80 ng) using 300 ng recombinant OmpR. Note that two PCR amplicons are present for several of the lanes that are attributable to mis-priming events in this AT-rich DNA sequence. (C) Three putative OmpR binding sites (B1, B2 and B3) are highlighted. F1, F2, F3 and F4 are the OmpR binding sites from the promoter region of E. coli ompF and C1 is the OmpR binding site identified with the promoter region of E. coli ompC.