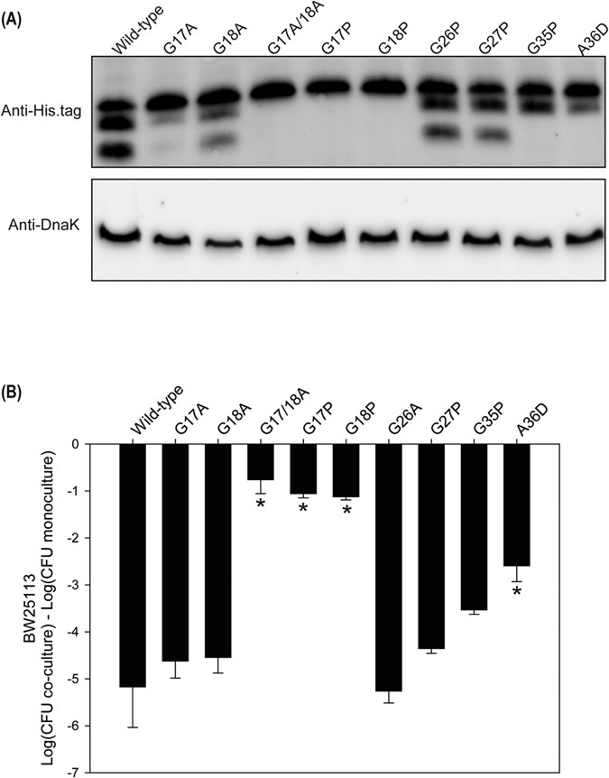
Figure 6: Identification of McpM cleavage sites.
From: Microcin PDI regulation and proteolytic cleavage are unique among known microcins

(A) Western blot analysis of McpM for the E25∆mcpM∆mcpA strain having different residue replacements in the McpM protein [designated (p207::mcpM XposY) in Table S1 where “X” is the wild-type amino acid, “pos” is the amino acid position, and “Y” is the replacement amino acid]. Samples are from cell lysate and endogenous DnaK served as a loading control. (B) Competition assays between the different site-specific mutants and BW25113 (vector ctrl). Results are expressed as the mean difference in CFU of the sensitive strain grown in co-culture and monoculture (error bars = SEM; 3 independent replicates). *Significant ANOVA followed by a Dunnett’s one-way multiple comparisons test versus control group (Wild-type) (P < 0.01).