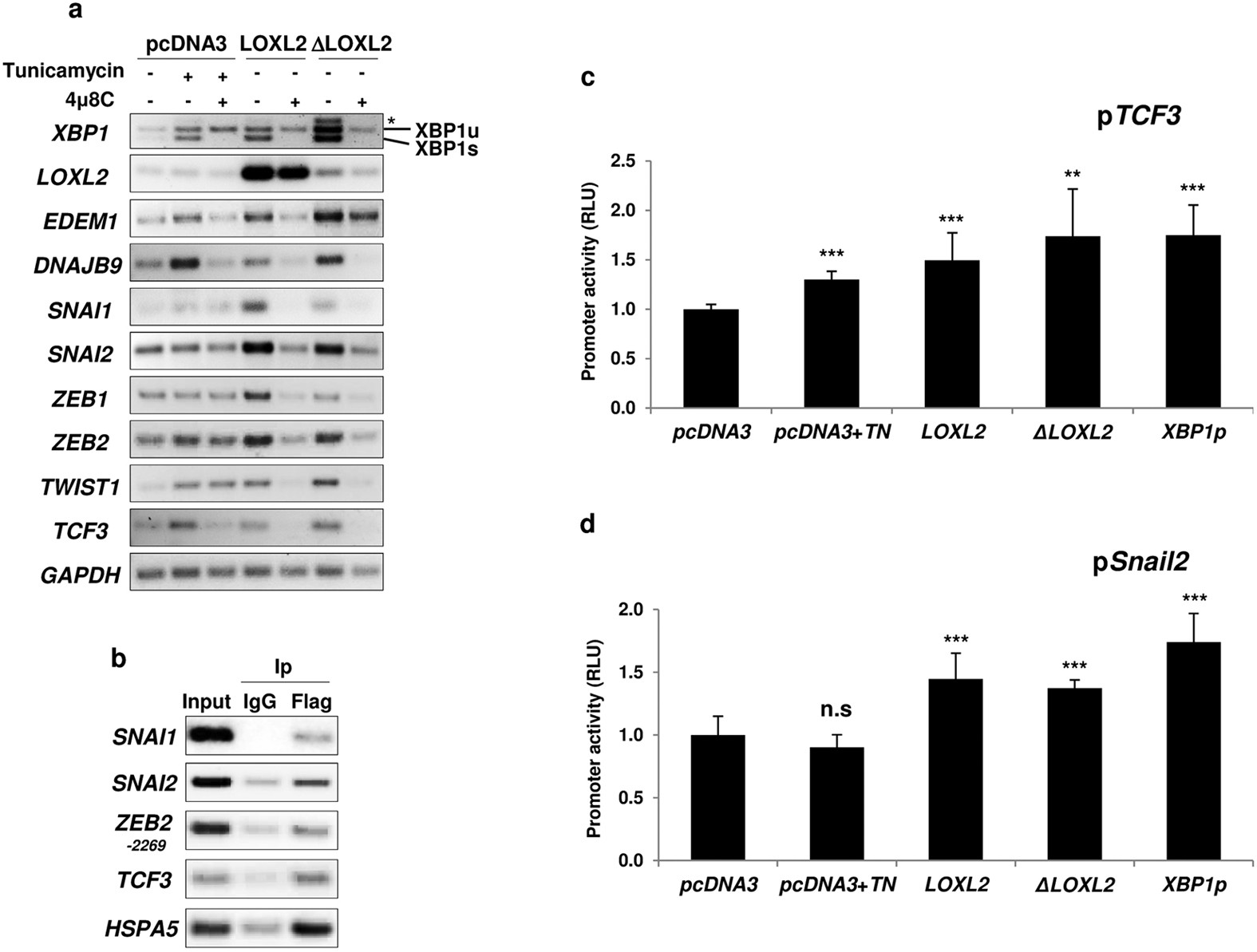
Figure 4: Activation of the IRE1-XBP1 branch by LOXL2 upregulates the expression of EMT-TFs.
From: LOXL2 drives epithelial-mesenchymal transition via activation of IRE1-XBP1 signalling pathway

(a) IRE1 activation increases the expression of EMT-TFs. RT-PCR analysis of the expression level of EMT-TFs (SNAI1, SNAI2, ZEB1, ZEB2, TWIST1 and TCF3) in HEK293T cells transiently transfected with pcDNA3-LOXL2 and -ΔLOXL2 and treated or not with 4 μ8 C. As control, RT-PCR analysis was also performed in cells transfected with empty plasmid (pcDNA3) and treated with tunicamycin and/or 4 μ8 C. RT-PCR analysis of XBP1 splicing and expression of DNAJB9 and EDEM1 was included as internal control of the activation and inhibition of IRE1. One representative RT-PCR analysis of three independent experiments is shown. (b) XBP1 binds to endogenous SNAI1, SNAI2, ZEB2 and TCF3 gene promoters. Chromatin immunoprecipitation assays were performed in HEK293T cells transiently transfected with a Flag-tagged version of the processed XBP1 (XBP1p) for the indicated EMT-TFs upstream regions. Binding of XBP1p to the HSPA5 promoter was used as control. One representative PCR analysis of three independent experiments is shown. (c) and (d) XBP1, LOXL2 and ΔLOXL2 enhance the activity of the TCF3 (c) and SNAI2 (d) gene promoters. SNAI2 and TCF3 promoter activities were analysed by luciferase reporter assay in HEK293T cells co-transfected with each reporter plasmid and plasmids expressing processed XBP1 (XBP1p), LOXL2 or ΔLOXL2. Promoter activities were normalized to the promoter activity detected in cells transfected with pcDNA3 empty vector. Error bars represent the s.e.m. (n = 4). As control, promoter assays were also performed in cells transfected with empty plasmid (pcDNA3) and treated with tunicamycin. (n = 4) (**p < 0.01, ***p < 0.001, n.s. not significant).