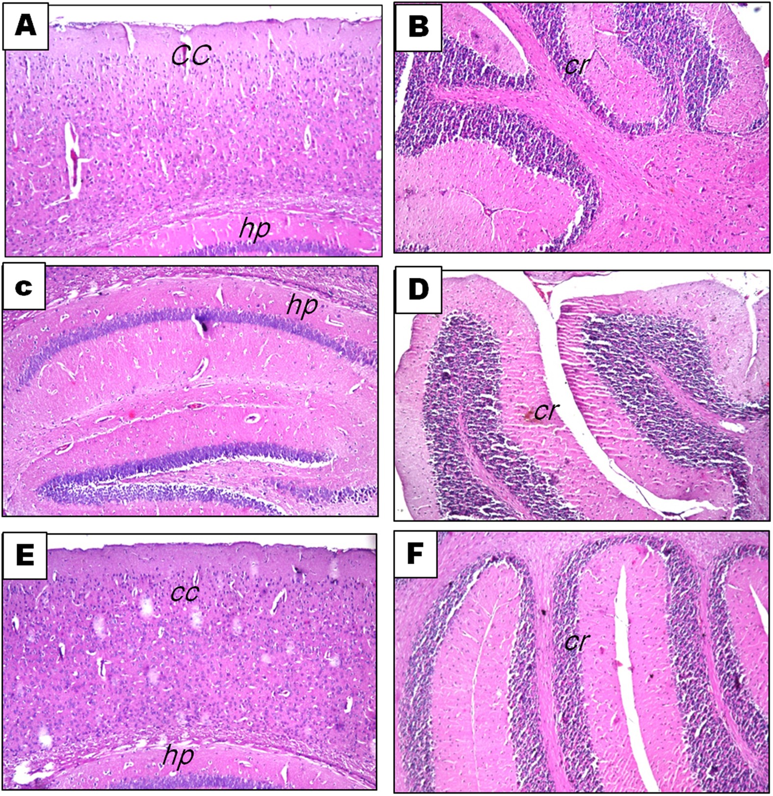
Figure 5: Photomicrographs of brain sections stained with H&E (x16) 14 days post induction.

Normal control group: (A,B), free rhMBP treated control group (C,D) and rhMBP NPs treated control group (E,F) showing normal histological structure of cerebral cortex (cc), hippocampus (hp) and cerebellum (cr).