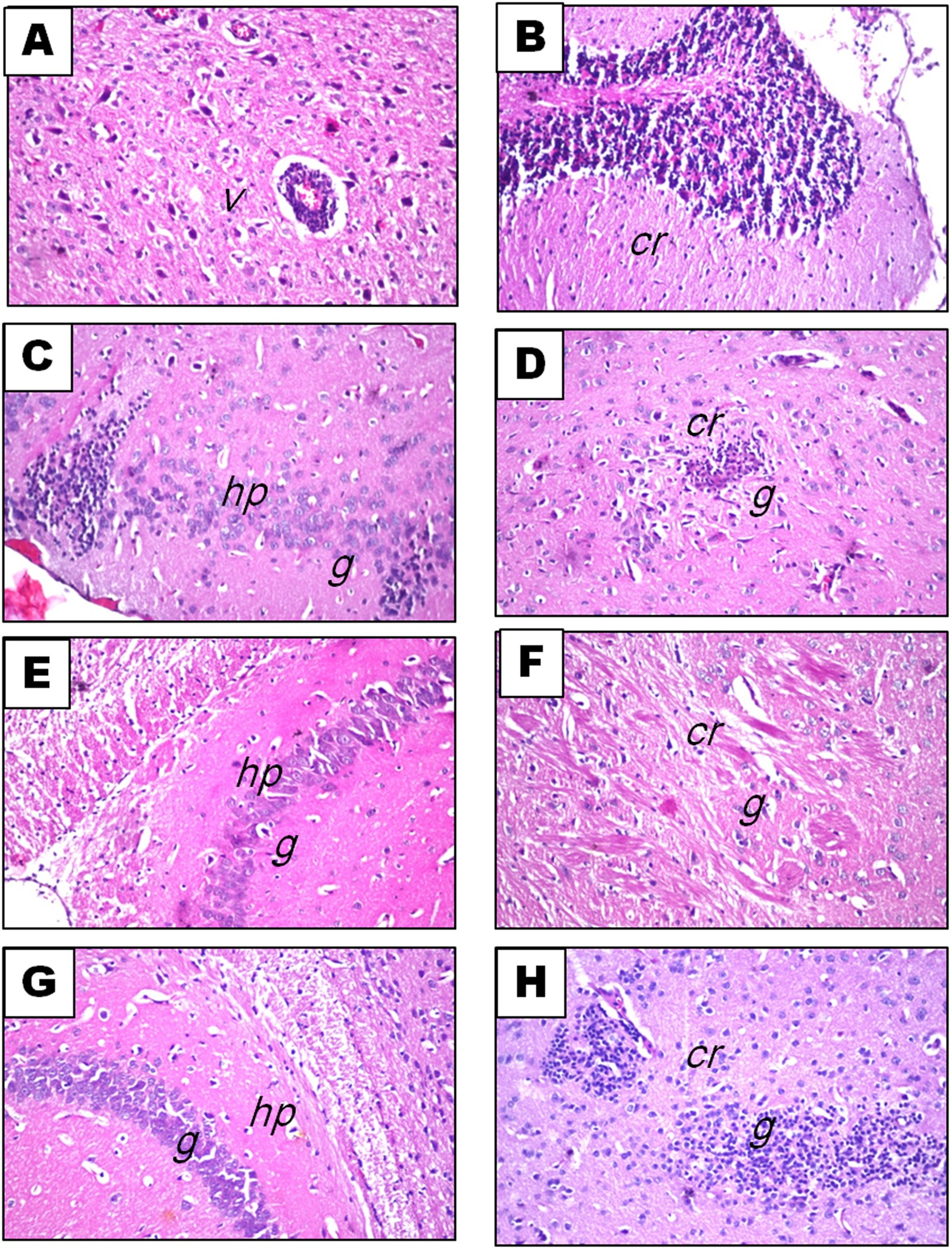
Figure 6

Photomicrographs of brain sections stained with H&E (x16): EAE group showing: (A) sclerotic cerebral blood vessels (v), perivascular mononuclear inflammatory infiltrate, average 15/5HPF (B) cerebellum (cr) degeneration, inflammatory infiltrate, average 10/5HPF (C) hippocampal (hp) neuronal cells degeneration and gliosis (g), inflammatory infiltrate, average 8/5HPF and (D) cerebellum (cr) gliosis (g), inflammatory infiltrate, average 10/5HPF. EAE group pretreated with free rhMBP showing: (E,F) focal gliosis (g) in the cerebellum, inflammatory infiltrate, average 5/5HPF (cr) and hippocampus (hp), inflammatory infiltrate, average 10/5HPF. EAE group pretreated with rhMBP NPs showing: (G,H) mild focal gliosis, inflammatory infiltrate, average 5/5HPF (g) in the cerebellum (cr) and hippocampus (hp), inflammatory infiltrate, average 4/5HPF.