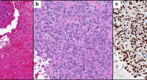
Soft tissue sarcomas are rare and aggressive neoplasms with limited models for laboratory-based studies. This study established eight models of soft tissue sarcomas, three malignant peripheral nerve sheath tumors, four undifferentiated pleomorphic sarcomas, and one unclassified spindle cell sarcoma. The new sarcoma cell lines are tools to elucidate molecular aberrations and improve treatment options for these difficult-to-treat sarcomas.
- Angela D. Bhalla
- Sharon M. Landers
- Keila E. Torres