Filter By:

Journal Check one or more journals to show results from those journals only.

Choose more journals

Article type Check one or more article types to show results from those article types only.
Subject Check one or more subjects to show results from those subjects only.
Date Choose a date option to show results from those dates only.

Custom date range

Clear all filters
Sort by:
Showing 1–50 of 186 results
Advanced filters: Author: German Ott Clear advanced filters
  • Moscot is an optimal transport approach that overcomes current limitations of similar methods to enable multimodal, scalable and consistent single-cell analyses of datasets across spatial and temporal dimensions.

    • Dominik Klein
    • Giovanni Palla
    • Fabian J. Theis
    ResearchOpen Access
    Nature
    Volume: 638, P: 1065-1075
  • The universality of the energetic equivalence rule has long been debated. Here, the authors show that across 183 soil invertebrate food webs, size–density and energy use varied with trophic level, energy measure, and food web structure, showing that ecosystem energetics depend on context and trophic complexity.

    • Poppy Joaquina Romera
    • Benoit Gauzens
    • Andrew D. Barnes
    ResearchOpen Access
    Nature Communications
    Volume: 17, P: 1-10
  • Although promising, gene and cell therapies can pose genotoxic risks that complicate clinical application. We describe the molecular basis of these risks, discuss tools to assess genotoxicity and highlight the advantages of non-viral genome engineering technologies for safer genome engineering.

    • Marie-Madeleine Nzila
    • Ulrike Koehl
    • Zoltán Ivics
    Comments & Opinion
    Nature Biomedical Engineering
    P: 1-6
  • Through an epigenome-wide blood analysis in children of mothers with or without type 1 diabetes, the authors identify epigenetic modifications of type 1 diabetes susceptibility loci through which maternal type 1 diabetes may protect from islet autoimmunity in offspring.

    • Raffael Ott
    • Jose Zapardiel-Gonzalo
    • Sandra Hummel
    ResearchOpen Access
    Nature Metabolism
    Volume: 7, P: 2236-2249
  • In somatic cells the mechanisms maintaining the chromosome ends are normally inactivated; however, cancer cells can re-activate these pathways to support continuous growth. Here, the authors characterize the telomeric landscapes across tumour types and identify genomic alterations associated with different telomere maintenance mechanisms.

    • Lina Sieverling
    • Chen Hong
    • Christian von Mering
    ResearchOpen Access
    Nature Communications
    Volume: 11, P: 1-13
  • Viral pathogen load in cancer genomes is estimated through analysis of sequencing data from 2,656 tumors across 35 cancer types using multiple pathogen-detection pipelines, identifying viruses in 382 genomic and 68 transcriptome datasets.

    • Marc Zapatka
    • Ivan Borozan
    • Christian von Mering
    ResearchOpen Access
    Nature Genetics
    Volume: 52, P: 320-330
  • In this study the authors consider the structural variants (SVs) present within cancer cases of the ICGC/TCGA Pan-Cancer Analysis of Whole Genomes (PCAWG) Consortium. They report hundreds of genes, including known cancer-associated genes for which the nearby presence of a SV breakpoint is associated with altered expression.

    • Yiqun Zhang
    • Fengju Chen
    • Christian von Mering
    ResearchOpen Access
    Nature Communications
    Volume: 11, P: 1-14
  • Understanding deregulation of biological pathways in cancer can provide insight into disease etiology and potential therapies. Here, as part of the PanCancer Analysis of Whole Genomes (PCAWG) consortium, the authors present pathway and network analysis of 2583 whole cancer genomes from 27 tumour types.

    • Matthew A. Reyna
    • David Haan
    • Christian von Mering
    ResearchOpen Access
    Nature Communications
    Volume: 11, P: 1-17
  • Analyses of 2,658 whole genomes across 38 types of cancer identify the contribution of non-coding point mutations and structural variants to driving cancer.

    • Esther Rheinbay
    • Morten Muhlig Nielsen
    • Christian von Mering
    ResearchOpen Access
    Nature
    Volume: 578, P: 102-111
  • With the generation of large pan-cancer whole-exome and whole-genome sequencing projects, a question remains about how comparable these datasets are. Here, using The Cancer Genome Atlas samples analysed as part of the Pan-Cancer Analysis of Whole Genomes project, the authors explore the concordance of mutations called by whole exome sequencing and whole genome sequencing techniques.

    • Matthew H. Bailey
    • William U. Meyerson
    • Christian von Mering
    ResearchOpen Access
    Nature Communications
    Volume: 11, P: 1-27
  • The flagship paper of the ICGC/TCGA Pan-Cancer Analysis of Whole Genomes Consortium describes the generation of the integrative analyses of 2,658 cancer whole genomes and their matching normal tissues across 38 tumour types, the structures for international data sharing and standardized analyses, and the main scientific findings from across the consortium studies.

    • Lauri A. Aaltonen
    • Federico Abascal
    • Christian von Mering
    ResearchOpen Access
    Nature
    Volume: 578, P: 82-93
  • Integrative analyses of transcriptome and whole-genome sequencing data for 1,188 tumours across 27 types of cancer are used to provide a comprehensive catalogue of RNA-level alterations in cancer.

    • Claudia Calabrese
    • Natalie R. Davidson
    • Christian von Mering
    ResearchOpen Access
    Nature
    Volume: 578, P: 129-136
  • Whole-genome sequencing data from more than 2,500 cancers of 38 tumour types reveal 16 signatures that can be used to classify somatic structural variants, highlighting the diversity of genomic rearrangements in cancer.

    • Yilong Li
    • Nicola D. Roberts
    • Christian von Mering
    ResearchOpen Access
    Nature
    Volume: 578, P: 112-121
  • Analysis of cancer genome sequencing data has enabled the discovery of driver mutations. Here, as part of the ICGC/TCGA Pan-Cancer Analysis of Whole Genomes (PCAWG) Consortium the authors present DriverPower, a software package that identifies coding and non-coding driver mutations within cancer whole genomes via consideration of mutational burden and functional impact evidence.

    • Shimin Shuai
    • Federico Abascal
    • Christian von Mering
    ResearchOpen Access
    Nature Communications
    Volume: 11, P: 1-12
  • Whole-genome sequencing data for 2,778 cancer samples from 2,658 unique donors across 38 cancer types is used to reconstruct the evolutionary history of cancer, revealing that driver mutations can precede diagnosis by several years to decades.

    • Moritz Gerstung
    • Clemency Jolly
    • Christian von Mering
    ResearchOpen Access
    Nature
    Volume: 578, P: 122-128
  • The authors present SVclone, a computational method for inferring the cancer cell fraction of structural variants from whole-genome sequencing data.

    • Marek Cmero
    • Ke Yuan
    • Christian von Mering
    ResearchOpen Access
    Nature Communications
    Volume: 11, P: 1-15
  • Multi-omics datasets pose major challenges to data interpretation and hypothesis generation owing to their high-dimensional molecular profiles. Here, the authors develop ActivePathways method, which uses data fusion techniques for integrative pathway analysis of multi-omics data and candidate gene discovery.

    • Marta Paczkowska
    • Jonathan Barenboim
    • Christian von Mering
    ResearchOpen Access
    Nature Communications
    Volume: 11, P: 1-16
  • Cancers evolve as they progress under differing selective pressures. Here, as part of the ICGC/TCGA Pan-Cancer Analysis of Whole Genomes (PCAWG) Consortium, the authors present the method TrackSig the estimates evolutionary trajectories of somatic mutational processes from single bulk tumour data.

    • Yulia Rubanova
    • Ruian Shi
    • Christian von Mering
    ResearchOpen Access
    Nature Communications
    Volume: 11, P: 1-12
  • There’s an emerging body of evidence to show how biological sex impacts cancer incidence, treatment and underlying biology. Here, using a large pan-cancer dataset, the authors further highlight how sex differences shape the cancer genome.

    • Constance H. Li
    • Stephenie D. Prokopec
    • Christian von Mering
    ResearchOpen Access
    Nature Communications
    Volume: 11, P: 1-24
  • Some cancer patients first present with metastases where the location of the primary is unidentified; these are difficult to treat. In this study, using machine learning, the authors develop a method to determine the tissue of origin of a cancer based on whole sequencing data.

    • Wei Jiao
    • Gurnit Atwal
    • Christian von Mering
    ResearchOpen Access
    Nature Communications
    Volume: 11, P: 1-12
  • Many tumours exhibit hypoxia (low oxygen) and hypoxic tumours often respond poorly to therapy. Here, the authors quantify hypoxia in 1188 tumours from 27 cancer types, showing elevated hypoxia links to increased mutational load, directing evolutionary trajectories.

    • Vinayak Bhandari
    • Constance H. Li
    • Christian von Mering
    ResearchOpen Access
    Nature Communications
    Volume: 11, P: 1-10
  • The characterization of 4,645 whole-genome and 19,184 exome sequences, covering most types of cancer, identifies 81 single-base substitution, doublet-base substitution and small-insertion-and-deletion mutational signatures, providing a systematic overview of the mutational processes that contribute to cancer development.

    • Ludmil B. Alexandrov
    • Jaegil Kim
    • Christian von Mering
    ResearchOpen Access
    Nature
    Volume: 578, P: 94-101
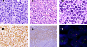
  • Plasmablastic lymphoma (PBL) is an aggressive lymphoma subtype characterized by poor prognosis but the molecular knowledge of the disease is limited. Here, the authors perform whole exome sequencing and copy number determination of primary samples highlighting IRF4 and JAK-STAT pathways as therapeutic targets for PBL.

    • Fabian Frontzek
    • Annette M. Staiger
    • Georg Lenz
    ResearchOpen Access
    Nature Communications
    Volume: 12, P: 1-14
  • Analyses of genomes from 914 children, adolescents, and young adults provide a comprehensive resource of genomic alterations across a spectrum of common childhood cancers.

    • Susanne N. Gröbner
    • Barbara C. Worst
    • Stefan M. Pfister
    ResearchOpen Access
    Nature
    Volume: 555, P: 321-327
  • Primary lymphomas of the central nervous system (PCNSL) are defined as diffuse large B-cell lymphomas (DLBCL) confined to the CNS. Here, the authors complete whole genome sequencing and RNA-seq to characterize 51 PCNSLs, and find common mutations in immune pathways and upregulated TERT expression and find distinct pathway differences between DLBCL and other primary CNS lymphomas.

    • Josefine Radke
    • Naveed Ishaque
    • Frank L. Heppner
    ResearchOpen Access
    Nature Communications
    Volume: 13, P: 1-20
  • Viruses need host cell lipids for multiplication. Here, the authors use lipidomics to show that lipid remodeling by orthoflaviviruses includes distinct changes but also shared patterns, some of which are needed for efficient viral replication.

    • Julia Hehner
    • Laura Schneider
    • Eva Herker
    ResearchOpen Access
    Nature Communications
    Volume: 15, P: 1-18
  • Hypothalamus participates in systemic metabolic processes, while high calorie intake increases immune activation in the central nervous system. Here the authors show that reduced regulatory T cells in the hypothalamus contribute to elevated immune activation in a high calorie environment, thereby prompting a potential therapy target for metabolic diseases.

    • Maike Becker
    • Stefanie Kälin
    • Carolin Daniel
    ResearchOpen Access
    Nature Communications
    Volume: 16, P: 1-23
  • Analysis of whole-genome sequencing data across 2,658 tumors spanning 38 cancer types shows that chromothripsis is pervasive, with a frequency of more than 50% in several cancer types, contributing to oncogene amplification, gene inactivation and cancer genome evolution.

    • Isidro Cortés-Ciriano
    • Jake June-Koo Lee
    • Christian von Mering
    ResearchOpen Access
    Nature Genetics
    Volume: 52, P: 331-341
  • Early detection of type 1 diabetes can facilitate early intervention. Here, the authors present a pQTL map in newborns and integrate it with genetic data to identifiy proteins that may play a causal role in the development of type 1 diabetes.

    • Mauro Tutino
    • Nancy Yiu-Lin Yu
    • Eleftheria Zeggini
    ResearchOpen Access
    Nature Communications
    Volume: 16, P: 1-9
  • Selenium and copper are two essential trace elements whose homeostasis and distribution is regulated by hepatic release of selenoprotein P (SELENOP) and ceruloplasmin, respectively. Here, the authors show that excessive copper results in hepatic SELENOP accumulation in the trans Golgi which might limit the selenium transport to peripheral organs.

    • Maria Schwarz
    • Caroline E. Meyer
    • Anna P. Kipp
    ResearchOpen Access
    Nature Communications
    Volume: 14, P: 1-15
  • Glunk et al. explore target genes and cellular mechanisms related to a metabolic obesity with normal-weight phenotype, and identify a non-coding variant that affects actin remodelling in subcutaneous adipocytes, which in turn affects the capacity of these cells to accumulate lipids.

    • Viktoria Glunk
    • Samantha Laber
    • Melina Claussnitzer
    Research
    Nature Metabolism
    Volume: 5, P: 861-879
  • The donor lungs of the future — built from collagen or silicone rubber or engineered from donor organs stripped of their original cells — might give a new lease of life to COPD patients.

    • Elie Dolgin
    Comments & Opinion
    Nature
    Volume: 489, P: S12-S14
  • Analysis of mitochondrial genomes (mtDNA) by using whole-genome sequencing data from 2,658 cancer samples across 38 cancer types identifies hypermutated mtDNA cases, frequent somatic nuclear transfer of mtDNA and high variability of mtDNA copy number in many cancers.

    • Yuan Yuan
    • Young Seok Ju
    • Christian von Mering
    ResearchOpen Access
    Nature Genetics
    Volume: 52, P: 342-352
  • Using meta-analysis of previous genome-wide association studies against the latest reference variant databases, this work identifies five new risk loci for glioblastoma and non-glioblastoma type of glioma.

    • Ben Kinnersley
    • Marianne Labussière
    • Richard S. Houlston
    ResearchOpen Access
    Nature Communications
    Volume: 6, P: 1-9
  • Hemochromatosis is a metabolic disorder caused by mutations in the HFE gene. Here, the authors show that a single administration of AAV8 vectors expressing an Adenine Base Editor facilitates efficient in vivo gene correction in hepatocytes and leads to improvement of iron-specific parameters in the liver and the blood in mouse models of the disease.

    • Alice Rovai
    • BoMee Chung
    • Michael Ott
    ResearchOpen Access
    Nature Communications
    Volume: 13, P: 1-10
  • Transduced hematopoietic stem cells can benefit patients with X-linked chronic granulomatous disease (a genetic immunodeficiency), but it's not risk free. In two treated patients, insertional activation of MDS1EVI1, PRDM16 and SETBP1 markedly increased the number of transduced cells in the blood, leading to oligoclonal hematopoiesis, monosomy 7 and a myelodysplastic syndrome (pages 163–165).

    • Stefan Stein
    • Marion G Ott
    • Manuel Grez
    Research
    Nature Medicine
    Volume: 16, P: 198-204