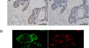
Ameloblastoma (AB) is the most common benign odontogenic tumor. In this study, we investigated the expression and distribution of acetylated α-tubulin and αTAT1 in AB specimens. We analyzed tubulin acetylation caused by αTAT1 activation in a human AB cell line, AM-1. Results of the histopathological and in vitro studies clarified that TAK1 was phosphorylated by TGF-β stimulation, then, induced tubulin acetylation via αTAT1 activation, which subsequently activated the migration and invasion of AB cells.
- Shohei Yoshimoto
- Hiromitsu Morita
- Shuichi Hashimoto