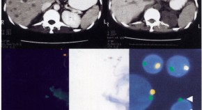
Proteus syndrome is a rare hamartoma syndrome that is characterized by the presence of germlinePTEN mutations and causes benign and malignant tumors. Marsh et al. report the case of a 16-month boy who was diagnosed with Proteus syndrome, and was managed with oral rapamycin. On the basis of this patient's promising outcome, the authors discuss the rationale for rapamycin therapy for patients with disorders within the PTENhamartoma tumor syndrome spectrum.
- Deborah J Marsh
- Toby N Trahair
- Glenn M Marshall